Suppr超能文献

Spontaneous esophageal mucosal dissection in a patient with upper digestive bleeding and esophageal varices.

作者信息

Negreanu L, Tribus L C, Purcarea M, Fierbinteanu Braticevici C

机构信息

Internal Medicine and Gastroenterology Department, Emergency University Hospital, Bucharest.

出版信息

J Med Life. 2011 May 15;4(2):182-3. Epub 2011 May 25.

Abstract

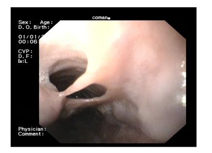
We present a case of mucosal esophageal dissection in a 44-year-old patient with alcoholic cirrhosis admitted for upper digestive bleeding. The endoscopic aspect was of chronic mucosal dissection in the esophagus and 3rd degree esophageal varices with red signs. To our knowledge, it is the only case with spontaneous esophageal mucosal dissection and portal hypertension with esophageal varices.

摘要
https://cdn.ncbi.nlm.nih.gov/pmc/blobs/02bc/3124266/82f8e0c63af5/JMedLife-04-182-g001.jpg

文献AI研究员

20分钟写一篇综述,助力文献阅读效率提升50倍。

立即体验

用中文搜PubMed

大模型驱动的PubMed中文搜索引擎

马上搜索

文档翻译

学术文献翻译模型,支持多种主流文档格式。

立即体验