Suppr超能文献

贝切特病性黄斑裂孔。

Macular hole in Behçet's disease.

机构信息

Uveitis Division, College of Medicine, King Saud University, Riyadh, Saudi Arabia.

出版信息

Indian J Ophthalmol. 2011 Sep-Oct;59(5):359-62. doi: 10.4103/0301-4738.83611.

Abstract

OBJECTIVE

To investigate the clinical features, prevalence, role of surgical intervention and the visual prognosis of macular holes (MH) in patients with Behcet's disease (BD).

MATERIALS AND METHODS

Retrospective study of patients with BD and MH from January 1998 to November 2008.

RESULTS

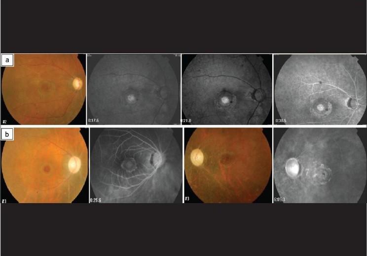
Out of 159 patients, 21 eyes of 17 patients were identified with MH. The mean age was 38.59 (range 23-61) years and the mean follow-up period was 5.1 years (range 13-164 months). The prevalence of MH was 7%. Visual acuity (VA) at the time of presentation ranged from 20/70 to hand-motion. Optical coherence tomography (OCT) findings revealed intraretinal cysts at the edge of the MH. The mean size of MH was 983.6 um; 52% had elevated edges, 43% had flat edges and only one eye (5%) was closed postoperatively. Fluorescein angiography (FA) was consistent with macular ischemia in 76% of the cases. Human leukocyte antigen (HLA) B51 association was found in 14 of the 15 patients investigated. Six patients (out of 17) underwent pars plana vitrectomy. The final VA on their last follow-up ranged from 20/70 to 2/200. Surgical intervention for MH did not result in any visual improvement as compared to non-operated eyes. One patient lost vision completely due to elevated intraocular pressure post vitrectomy and silicon oil tamponade.

CONCLUSIONS

MH in patients with BD may lead to significant visual disability. Surgical intervention does not seem to have any potential beneficial effect on the VA, probably due to significant macular ischemia and sequelae from the ocular inflammation.

摘要

目的

探讨白塞病(BD)患者黄斑裂孔(MH)的临床特征、患病率、手术干预的作用和视力预后。

材料和方法

回顾性研究 1998 年 1 月至 2008 年 11 月期间患有 BD 和 MH 的患者。

结果

在 159 例患者中,发现 17 例患者的 21 只眼患有 MH。平均年龄为 38.59 岁(范围 23-61 岁),平均随访时间为 5.1 年(范围 13-164 个月)。MH 的患病率为 7%。就诊时视力(VA)范围从 20/70 到手动。光学相干断层扫描(OCT)发现 MH 边缘存在视网膜内囊肿。MH 的平均大小为 983.6μm;52%的 MH 边缘隆起,43%的 MH 边缘平坦,只有一只眼(5%)术后闭合。76%的病例荧光素血管造影(FA)与黄斑缺血一致。在 15 名被调查的患者中发现 14 名 HLA B51 相关。6 名患者(17 名患者中的 6 名)接受了经睫状体平坦部玻璃体切除术。最后一次随访时的最终 VA 范围从 20/70 到 2/200。与未手术眼相比,MH 的手术干预并没有导致任何视力改善。1 例患者因玻璃体切除术后眼压升高和硅油填充而完全丧失视力。

结论

BD 患者的 MH 可能导致显著的视力障碍。手术干预似乎对 VA 没有任何潜在的有益影响,可能是由于黄斑缺血和眼部炎症的后遗症。

https://cdn.ncbi.nlm.nih.gov/pmc/blobs/e8d6/3159316/109190338654/IJO-59-359-g002.jpg

文献AI研究员

20分钟写一篇综述,助力文献阅读效率提升50倍。

立即体验

用中文搜PubMed

大模型驱动的PubMed中文搜索引擎

马上搜索

文档翻译

学术文献翻译模型,支持多种主流文档格式。

立即体验