Suppr超能文献

子宫动脉假性动脉瘤:继发性产后出血的罕见原因,采用子宫动脉栓塞术治疗。

Pseudoaneurysm of uterine artery: a rare cause of secondary postpartum hemorrhage, managed with uterine artery embolisation.

作者信息

Nanjundan Pramya, Rohilla Meenakshi, Raveendran Ainharan, Jain Vanita, Khandelwal Niranjan

机构信息

Department of Obstetrics and Gynaecology, Postgraduate Institute of Medical Education and Research (PGIMER), Chandigarh, India.

出版信息

J Clin Imaging Sci. 2011;1:14. doi: 10.4103/2156-7514.76692. Epub 2011 Feb 11.

Abstract

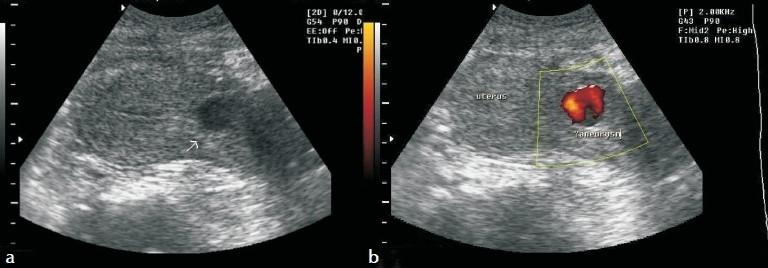
Uterine artery pseudoaneurysm is a rare cause of secondary postpartum hemorrhage but is potentially life-threatening and can occur after caesarean section (c-section) or a hysterectomy. A 28-year-old woman who developed secondary postpartum hemorrhage after c-section was diagnosed to have pseudoaneurysm from the left uterine artery on ultrasound (US) and computed tomography (CT) scan. She was treated with coiling of the pseudoaneurysm with stainless steel coil via selective catheterization of the uterine artery. The procedure was uneventful and the pseudoaneurysm was successfully obliterated. Angiographic embolization is a safe and effective method for treating postpartum hemorrhage due to pseudoaneurysm in hemodynamically stable patients. Therefore, it should be considered as a treatment option before resorting to surgery, in appropriately selected cases.

摘要

子宫动脉假性动脉瘤是继发性产后出血的罕见原因,但有潜在生命危险,可发生于剖宫产或子宫切除术后。一名28岁女性在剖宫产后发生继发性产后出血,经超声(US)和计算机断层扫描(CT)诊断为左子宫动脉假性动脉瘤。通过子宫动脉选择性插管,用不锈钢线圈对假性动脉瘤进行了栓塞治疗。手术过程顺利,假性动脉瘤成功闭塞。对于血流动力学稳定的患者,血管造影栓塞术是治疗假性动脉瘤所致产后出血的一种安全有效的方法。因此,在适当选择的病例中,在采取手术治疗之前应考虑将其作为一种治疗选择。

https://cdn.ncbi.nlm.nih.gov/pmc/blobs/146b/3173835/cb5c18760ea4/JCIS-1-14-g002.jpg

文献AI研究员

20分钟写一篇综述,助力文献阅读效率提升50倍。

立即体验

用中文搜PubMed

大模型驱动的PubMed中文搜索引擎

马上搜索

文档翻译

学术文献翻译模型,支持多种主流文档格式。

立即体验