Suppr超能文献

实验性山羊球虫病中急性期蛋白和炎症介质的变化模式

Changing patterns of acute phase proteins and inflammatory mediators in experimental caprine coccidiosis.

作者信息

Hashemnia Mohammad, Khodakaram-Tafti Azizollah, Razavi Seyed Mostafa, Nazifi Saeed

机构信息

Department of Pathobiology, School of Veterinary Medicine, Shiraz University, 71345 Shiraz, Iran.

出版信息

Korean J Parasitol. 2011 Sep;49(3):213-9. doi: 10.3347/kjp.2011.49.3.213. Epub 2011 Sep 30.

Abstract

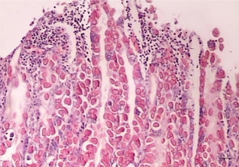
This experiment was conducted to assess the changing patterns and relative values of acute phase proteins and inflammatory cytokines in experimental caprine coccidiosis. Eighteen newborn kids were allocated to 3 equal groups. Two groups, A and B, were inoculated with a single dose of 1×10(3) and1×10(5) sporulated oocysts of Eimeria arloingi, respectively. The third group, C, received distilled water as the control. Blood samples were collected from the jugular vein of each kid in both groups before inoculation and at days 7, 14, 21, 28, 35, and 42 post-inoculation (PI), and the levels of haptoglobin (Hp), serum amyloid A (SAA), TNF-α, and IFN-γ were measured. For histopathological examinations, 2 kids were selected from each group, euthanized, and necropsied on day 42 PI. Mean Hp concentrations in groups A and B (0.34 and 0.68 g/L) at day 7 PI were 3.2 and 6.3 times higher than the levels before inoculation. The mean SAA concentrations in groups A and B (25.6 and 83.5 µg/ml) at day 7 PI were 4.2 and 13.7 times higher than the levels before inoculation. The magnitude and duration of the Hp and SAA responses correlated well with the inoculation doses and the severity of the clinical signs and diarrhea in kids. These results were consistent with the histopathological features, which showed advanced widespread lesions in group B. In both groups, significant correlations were observed for TNF-α and IFN-γ with SAA and Hp, respectively. In conclusion, Hp and SAA can be useful non-specific diagnostic indicators in caprine coccidiosis.

摘要

本实验旨在评估实验性山羊球虫病中急性期蛋白和炎性细胞因子的变化模式及相对值。18只新生羔羊被分为3组,每组6只。A、B两组分别接种1×10³和1×10⁵个阿氏艾美耳球虫孢子化卵囊,C组作为对照组,接种蒸馏水。在接种前及接种后第7、14、21、28、35和42天,从每组羔羊的颈静脉采集血样,检测触珠蛋白(Hp)、血清淀粉样蛋白A(SAA)、肿瘤坏死因子-α(TNF-α)和干扰素-γ(IFN-γ)的水平。在接种后第42天,从每组中选取2只羔羊进行安乐死并剖检,进行组织病理学检查。接种后第7天,A组和B组的平均Hp浓度(分别为0.34和0.68 g/L)分别比接种前高3.2倍和6.3倍。接种后第7天,A组和B组的平均SAA浓度(分别为25.6和83.5 μg/ml)分别比接种前高4.2倍和13.7倍。Hp和SAA反应的强度和持续时间与接种剂量以及羔羊临床症状和腹泻的严重程度密切相关。这些结果与组织病理学特征一致,B组显示出广泛的晚期病变。在两组中,分别观察到TNF-α与SAA、IFN-γ与Hp之间存在显著相关性。总之,Hp和SAA可作为山羊球虫病有用的非特异性诊断指标。

https://cdn.ncbi.nlm.nih.gov/pmc/blobs/447b/3210837/57c9c2ac7b47/kjp-49-213-g001.jpg

文献AI研究员

20分钟写一篇综述,助力文献阅读效率提升50倍。

立即体验

用中文搜PubMed

大模型驱动的PubMed中文搜索引擎

马上搜索

文档翻译

学术文献翻译模型,支持多种主流文档格式。

立即体验