Institut Jean-Pierre Bourgin, INRA, Versailles, France.
PLoS One. 2011;6(12):e28729. doi: 10.1371/journal.pone.0028729. Epub 2011 Dec 13.
In Arabidopsis, AGO1 and AGO2 associate with small RNAs that exhibit a Uridine and an Adenosine at their 5' end, respectively. Because most plant miRNAs have a 5'U, AGO1 plays many essential roles in miRNA-mediated regulation of development and stress responses. In contrast, AGO2 has only been implicated in antibacterial defense in association with miR393*, which has a 5'A. AGO2 also participates in antiviral defense in association with viral siRNAs.
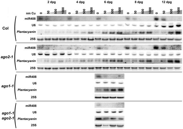
This study reveals that miR408, which has a 5'A, regulates its target Plantacyanin through either AGO1 or AGO2. Indeed, neither ago1 nor ago2 single mutations abolish miR408-mediated regulation of Plantacyanin. Only an ago1 ago2 double mutant appears compromised in miR408-mediated regulation of Plantacyanin, suggesting that AGO1 and AGO2 have redundant roles in this regulation. Moreover, the nature of the 5' nucleotide of miR408 does not appear essential for its regulatory role because both a wildtype 5'A-MIR408 and a mutant 5'U-MIR408 gene complement a mir408 mutant.
CONCLUSIONS/SIGNIFICANCE: These results suggest that miR408 associates with both AGO1 and AGO2 based on criteria that differ from the 5' end rule, reminiscent of miR390-AGO7 and miR165/166-AGO10 associations, which are not based on the nature of the 5' nucleotide.
在拟南芥中,AGO1 和 AGO2 分别与具有 5'端尿嘧啶和腺嘌呤的小 RNA 结合。由于大多数植物 miRNA 具有 5'U,因此 AGO1 在 miRNA 介导的发育和应激反应调控中发挥着许多重要作用。相比之下,AGO2 仅与具有 5'A 的 miR393* 相关联,被牵连到抗细菌防御中。AGO2 还与病毒 siRNAs 相关联,参与抗病毒防御。
本研究表明,具有 5'A 的 miR408 通过 AGO1 或 AGO2 调节其靶标 Plantacyanin。事实上,ago1 或 ago2 单突变都不会消除 miR408 对 Plantacyanin 的调控。只有 ago1 ago2 双突变体在 miR408 对 Plantacyanin 的调控中表现出缺陷,这表明 AGO1 和 AGO2 在这种调控中具有冗余作用。此外,miR408 的 5'核苷酸的性质对于其调节作用似乎并不重要,因为野生型 5'A-MIR408 和突变型 5'U-MIR408 基因都可以补充 mir408 突变体。
结论/意义:这些结果表明,miR408 与 AGO1 和 AGO2 结合的标准与 5' 端规则不同,这让人想起 miR390-AGO7 和 miR165/166-AGO10 的结合,它们不是基于 5' 核苷酸的性质。