Suppr超能文献

骨桥蛋白和整合素参与胆固醇结石的形成。

Osteopontin and integrin are involved in cholesterol gallstone formation.

机构信息

Department of Surgery, 1st Affiliated Hospital of Xi'an Jiaotong University, Shaanxi, Shanxi, PR China.

出版信息

Med Sci Monit. 2012 Jan;18(1):BR16-23. doi: 10.12659/msm.882194.

Abstract

BACKGROUND

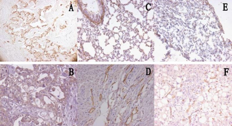
This study aimed to investigate the role of osteopontin and its receptor, integrin αv, in gallstone formation using human tissue specimens and a guinea pig lithogenic model.

MATERIAL/METHODS: The nucleation role of osteopontin was determined in patients' and normal gallbladder bile samples in vitro. Normal gallbladder was the control, and gallstone gallbladders were divided into group I (with normal epithelia) and group II (with degenerated epithelia) based on pathology change. Immunostaining, mRNA and protein expressions of osteopontin and integrin αv were analyzed. The animals were randomly divided into a lithogenic diet group and a normal diet group; the osteopontin mRNA expression in gallbladder and liver and osteopontin concentrations were determined.

RESULTS

Osteopontin prolonged nucleation time and inhibited the pro-nucleating role induced by calcium in human bile in vitro. Immunostaining for osteopontin and integrin αv in human gallbladder tissues showed a higher reactivity in Group I than control group and Group II. The immunostaining in Group II was weaker than control group; similar results were observed for mRNA and protein expression of osteopontin and integrin αv. In the animal assay, the mRNA expression and concentration of osteopontin in gallbladder and liver gradually increased at initial stages and decreased in later stages. The concentrations of osteopontin in bile and serum of guinea pig showed similar trends.

CONCLUSIONS

Our results suggest that osteopontin is involved in cholesterol gallstone formation, and the role of osteopontin might correlate with integrin αv and calcium.

摘要

背景

本研究旨在通过人体组织标本和豚鼠成石模型,研究骨桥蛋白及其受体整合素 αv 在胆石形成中的作用。

材料/方法:在体外检测骨桥蛋白在患者和正常胆囊胆汁样本中的成核作用。正常胆囊为对照,胆结石胆囊根据病理变化分为 I 组(有正常上皮)和 II 组(有变性上皮)。分析骨桥蛋白和整合素 αv 的免疫染色、mRNA 和蛋白表达。动物随机分为成石饮食组和正常饮食组;测定胆囊和肝脏中的骨桥蛋白 mRNA 表达和骨桥蛋白浓度。

结果

骨桥蛋白在体外延长了成核时间,并抑制了人胆汁中钙诱导的成核作用。骨桥蛋白和整合素 αv 在人胆囊组织中的免疫染色在 I 组比对照组和 II 组的反应性更高。II 组的免疫染色比对照组弱;骨桥蛋白和整合素 αv 的 mRNA 和蛋白表达也观察到类似的结果。在动物实验中,胆囊和肝脏中骨桥蛋白的 mRNA 表达和浓度在早期逐渐增加,后期减少。豚鼠胆汁和血清中骨桥蛋白的浓度也表现出相似的趋势。

结论

我们的结果表明骨桥蛋白参与胆固醇胆石形成,骨桥蛋白的作用可能与整合素 αv 和钙有关。

https://cdn.ncbi.nlm.nih.gov/pmc/blobs/52c9/3560682/841b199a78ff/medscimonit-18-1-BR16-g001.jpg

文献AI研究员

20分钟写一篇综述,助力文献阅读效率提升50倍。

立即体验

用中文搜PubMed

大模型驱动的PubMed中文搜索引擎

马上搜索

文档翻译

学术文献翻译模型,支持多种主流文档格式。

立即体验