School of Biomedical Engineering and Med-X Research Institute, Shanghai Jiao Tong University, Shanghai, People's Republic of China.
Int J Nanomedicine. 2011;6:3383-91. doi: 10.2147/IJN.S25546. Epub 2011 Dec 19.
To develop a lipid-stabilized contrast formulation containing gadobenate dimeglumine for clear visualization of the mucosal surfaces of the larynx and trachea for early diagnosis of disease by magnetic resonance imaging.
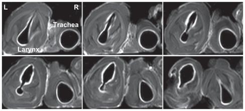
The contrast formulation was prepared by loading gadobenate dimeglumine into egg phosphotidylcholine, cholesterol, and sterylamine nanoliposomes using the dehydration-rehydration method. The liposomal contrast formulation was ultrasonically nebulized, and the deposition and coating pattern on explanted pig laryngeal and tracheal segments was examined by inductively coupled plasma atomic emission spectroscopy. The sizes of the nebulized droplets were characterized by photon correlation spectroscopy. The contrast-enhanced mucosal surface images of the larynx and trachea were obtained in a 3.0T magnetic resonance scanner using a T1-weighted spectral presaturation inversion recovery sequence.
Various cationic liposome formulations were compared for their stabilization effects on the droplets containing gadobenate dimeglumine. The liposomes composed of egg phosphotidylcholine, cholesterol, and sterylamine in a molar ratio of 1:1:1 were found to enable the most efficient nebulization and the resulting droplet sizes were narrowly distributed. They also resulted in the most even coating on the laryngeal and tracheal lumen surfaces and produced significant contrast enhancement along the mucosal surface. Such contrast enhancement could help clearer visualization of several disease states, such as intraluminal protrusions, submucosal nodules, and craters.
This lipid-stabilized magnetic resonance imaging contrast formulation may be useful for improving mucosal surface visualization and early diagnosis of disease originating in the mucosal surfaces of the larynx and trachea.
为了开发一种含有钆喷酸二葡甲胺的脂质稳定型对比剂制剂,以便通过磁共振成像清晰地观察喉和气管的黏膜表面,从而实现疾病的早期诊断。
采用脱水-再水化法,将钆喷酸二葡甲胺载入卵磷酯、胆固醇和硬脂胺纳米脂质体中,制备出脂质体对比剂制剂。对超声雾化后的脂质体对比剂制剂进行研究,采用电感耦合等离子体原子发射光谱法检查其在离体猪喉和气管段上的沉积和包被模式。采用光子相关光谱法对雾化后的液滴大小进行特征描述。使用 T1 加权光谱预饱和反转恢复序列,在 3.0T 磁共振扫描仪上获取喉和气管的增强黏膜表面图像。
对不同阳离子脂质体制剂进行了比较,以评估它们对含有钆喷酸二葡甲胺的液滴的稳定效果。结果发现,由摩尔比为 1:1:1 的卵磷酯、胆固醇和硬脂胺组成的脂质体能够实现最有效的雾化,且所得液滴的粒径分布较窄。它们还导致在喉和气管腔表面的最均匀的包被,并沿黏膜表面产生显著的对比增强。这种对比增强有助于更清晰地显示几种疾病状态,如腔内突起、黏膜下结节和火山口。
这种脂质稳定型磁共振成像对比剂制剂可能有助于改善黏膜表面的可视化和对起源于喉和气管黏膜表面的疾病的早期诊断。