Suppr超能文献

经持续性左上腔静脉行心脏除颤器植入术——有时这种方法很简单。病例报告。

Cardiac defibrillator implantation via persistent left superior vena cava - sometimes this approach is facile. A case report.

机构信息

Department of Invasive Cardiology and Cardiodiabetology, University Hospital, Lodz, Poland.

出版信息

Arch Med Sci. 2011 Feb;7(1):161-3. doi: 10.5114/aoms.2011.20623. Epub 2011 Mar 8.

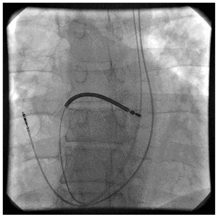
Abstract

We report a case of persistent left superior vena cava (PLSVC) incidentally recognized during the implantation of a cardioverter-defibrillator. PLSVC is the most common venous anomaly of the thorax and drains into the right atrium. There are a lot of publications reporting success of pacemaker or defibrillator lead implantations via PLSVC. In this article we present the technique of approaching the right ventricle and right atrium via PLSVC; sometimes this method can be as straightforward as the classical way. Therefore, if PLSVC is recognized intra-operatively, we suggest continuing left-sided implantation, and considering a right venous access only in case of failure.

摘要

我们报告了一例在植入心脏复律除颤器时偶然发现的持续性左上腔静脉(PLSVC)。PLSVC 是胸部最常见的静脉异常,汇入右心房。有很多出版物报道了通过 PLSVC 成功植入起搏器或除颤器导线。在本文中,我们介绍了经 PLSVC 进入右心室和右心房的方法;有时,这种方法与经典方法一样简单直接。因此,如果在手术中发现 PLSVC,我们建议继续进行左侧植入,如果出现失败情况,再考虑右侧静脉入路。

https://cdn.ncbi.nlm.nih.gov/pmc/blobs/39ea/3258695/cd1195470032/AMS-7-1-161_F1.jpg

文献AI研究员

20分钟写一篇综述,助力文献阅读效率提升50倍。

立即体验

用中文搜PubMed

大模型驱动的PubMed中文搜索引擎

马上搜索

文档翻译

学术文献翻译模型,支持多种主流文档格式。

立即体验