Suppr超能文献

髓内黑色素性施万细胞瘤。

Intramedullary melanotic schwannoma.

作者信息

Hoover Jason M, Bledsoe Jonathan M, Giannini Caterina, Krauss William E

机构信息

Department of Neurological Surgery.

出版信息

Rare Tumors. 2012 Jan 2;4(1):e3. doi: 10.4081/rt.2012.e3. Epub 2012 Jan 31.

Abstract

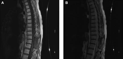
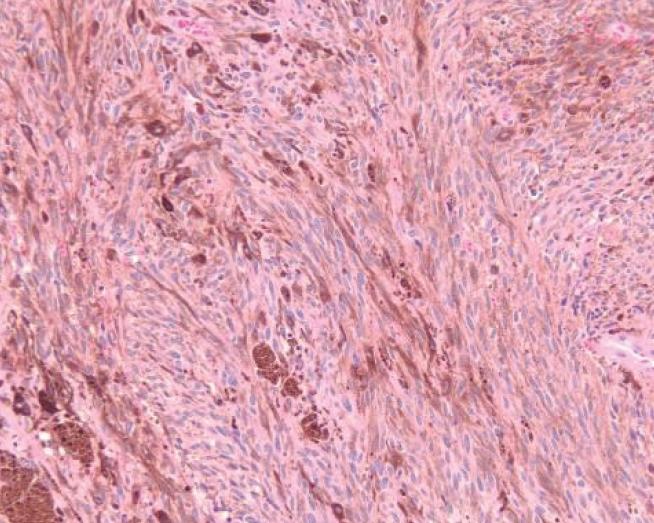
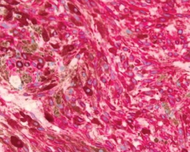
We present a case of an intramedullary melanotic schwannoma (IMS) of the thoracic spinal cord. To our knowledge, this is the seventh reported case of an IMS of the central nervous system. Schwannomas are benign nerve sheath tumors of neural crest origin composed entirely of well differentiated Schwann cells that typically occur in peripheral nerves. Both the intramedullary location and the melanotic component of the reported lesion make it exceedingly rare. We will present our case, theories as to the origin of these tumors, clues in radiographic identification, and current clinical follow-up recommendations.

摘要

我们报告一例胸段脊髓髓内黑色素性神经鞘瘤(IMS)。据我们所知,这是中枢神经系统IMS报告的第七例。神经鞘瘤是起源于神经嵴的良性神经鞘肿瘤,完全由分化良好的施万细胞组成,通常发生于周围神经。所报告病变的髓内位置和黑色素成分使其极为罕见。我们将展示我们的病例、这些肿瘤的起源理论、影像学识别线索以及当前的临床随访建议。

https://cdn.ncbi.nlm.nih.gov/pmc/blobs/b55c/3325748/771ece36e0d8/rt-2012-1-e3-g001.jpg

文献AI研究员

20分钟写一篇综述,助力文献阅读效率提升50倍。

立即体验

用中文搜PubMed

大模型驱动的PubMed中文搜索引擎

马上搜索

文档翻译

学术文献翻译模型,支持多种主流文档格式。

立即体验