Kulkarni Vinaya Kumar, Choudhary Pinky, Bansal Arpana V, Deshmukh Jeevanand, Duddu Mahesh Kumar, Shashikiran N D
Department of Pedodontics and Preventive Dentistry, People's College of Dental Sciences and Research Centre, Bhopal, Madhya Pradesh, India.
Contemp Clin Dent. 2012 Apr;3(Suppl 1):S125-9. doi: 10.4103/0976-237X.95123.
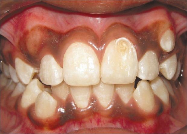
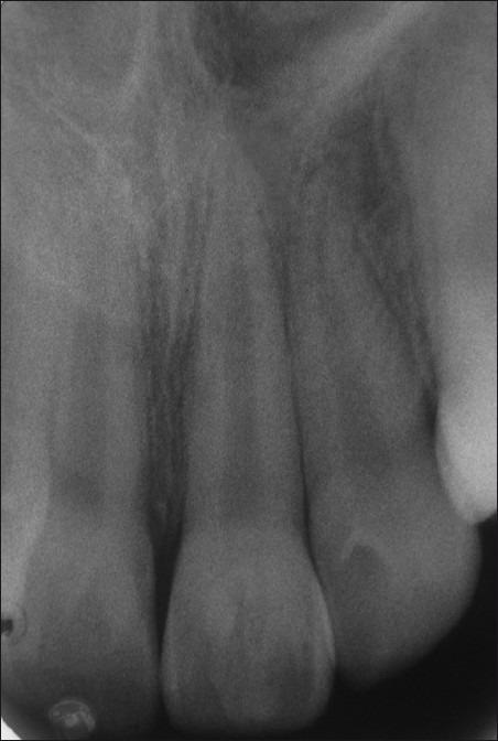
Talon cusp is a relatively uncommon developmental anomaly characterized by cusp-like projections, usually presenting on palatal/lingual surface of the anterior teeth. This cusp resembles an eagle's talon, and hence the name. Normal enamel and dentin covers the cusp, which may or may not contain an extension of pulp. Presence of this anomalous cusp on the facial surface of an anterior tooth is a rare finding and very few cases have been reported in the literature. In most instances, such cusps are associated with clinical problems such as poor esthetics and caries susceptibility. Management of such cases requires a comprehensive knowledge of the clinical entity as well as the problems associated with it. This case report presents a facial talon cusp on the maxillary left central incisor of a 10 year old boy, which was conservatively treated. Vitality of the affected tooth was maintained and followed up for a period of 1 year.
畸形中央尖是一种相对罕见的发育异常,其特征为尖状突起,通常出现在前牙的腭/舌面。这种尖类似鹰爪,因此得名。正常的釉质和牙本质覆盖该尖,其可能含有也可能不含有牙髓延伸。前牙唇面出现这种异常尖是罕见发现,文献中报道的病例很少。在大多数情况下,此类尖与美学不佳和龋齿易感性等临床问题相关。处理此类病例需要全面了解该临床实体及其相关问题。本病例报告展示了一名10岁男孩上颌左中切牙的唇侧畸形中央尖,并对其进行了保守治疗。患牙的活力得以维持,并随访了1年。