Suppr超能文献

两名土耳其儿童患艾卡迪综合征。

Aicardi syndrome in two Turkish children.

作者信息

Bayram Erhan, Topcu Yasemin, Akinci Gulcin, Hiz Semra, Cakmakci Handan

机构信息

Department of Pediatric Neurology, Faculty of Medicine, Dokuz Eylul University, Izmir, Turkey.

出版信息

Ann Saudi Med. 2013 Jan-Feb;33(1):73-5. doi: 10.5144/0256-4947.2012.01.7.1545.

Abstract

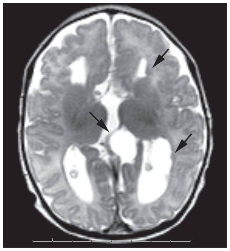
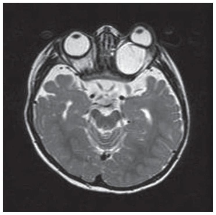
Aicardi syndrome (AS) is an X-linked inherited disorder characterized by infantile spasms, chorioretinal lacunae, and agenesis or hypogenesis of the corpus callosum. The syndrome is more frequently seen in females but is observed in XXY male patients. Central nervous system, ocular, and costovertebral malformations may also seen in AS. Eye findings are of a considerable diagnostic importance; the chorioretinal lacunae are pathognomonic for AS and are generally bilateral. The outcome of the disease is generally severe, with a high mortality rate and poor developmental outcome. It is not clear which characteristics of the syndrome are related to a good prognosis in terms of psychomotor development, epileptic seizures, and survival. The purpose of this report was to demonstrate the spectrum of the clinical findings and the course of AS in two Turkish patients with different ocular and cranial MRI findings.

摘要

艾卡迪综合征(AS)是一种X连锁遗传性疾病,其特征为婴儿痉挛、脉络膜视网膜缺损以及胼胝体发育不全或发育不良。该综合征在女性中更为常见,但在XXY男性患者中也有发现。中枢神经系统、眼部和肋椎畸形在AS中也可能出现。眼部表现具有相当重要的诊断意义;脉络膜视网膜缺损是AS的特征性表现,通常为双侧性。该病的预后通常较差,死亡率高且发育结局不佳。目前尚不清楚该综合征的哪些特征与精神运动发育、癫痫发作和生存方面的良好预后相关。本报告的目的是展示两名土耳其患者的临床发现谱以及AS的病程,这两名患者具有不同的眼部和头颅MRI表现。

https://cdn.ncbi.nlm.nih.gov/pmc/blobs/49c6/6078574/fd525df6258a/asm-1-73f1.jpg

文献AI研究员

20分钟写一篇综述,助力文献阅读效率提升50倍。

立即体验

用中文搜PubMed

大模型驱动的PubMed中文搜索引擎

马上搜索

文档翻译

学术文献翻译模型,支持多种主流文档格式。

立即体验