Shiozaki Hironori, Sakurai Shintaro, Sudo Kazuki, Shimada Gen, Inoue Hiroshi, Ohigashi Seiji, Deshpande Gautam A, Takahashi Osamu, Onodera Hisashi
Department of GI Surgery, St Luke's International Hospital, 9-1 Akashi-cho, Chuo-ku, Tokyo, 104-0044, Japan.
J Med Case Rep. 2012 Jul 18;6:206. doi: 10.1186/1752-1947-6-206.
Internal hernia within the falciform ligament is exceedingly rare. A literature search revealed only 14 cases of internal herniation of the small bowel through a congenital defect of the falciform ligament, most of which were found intra-operatively.
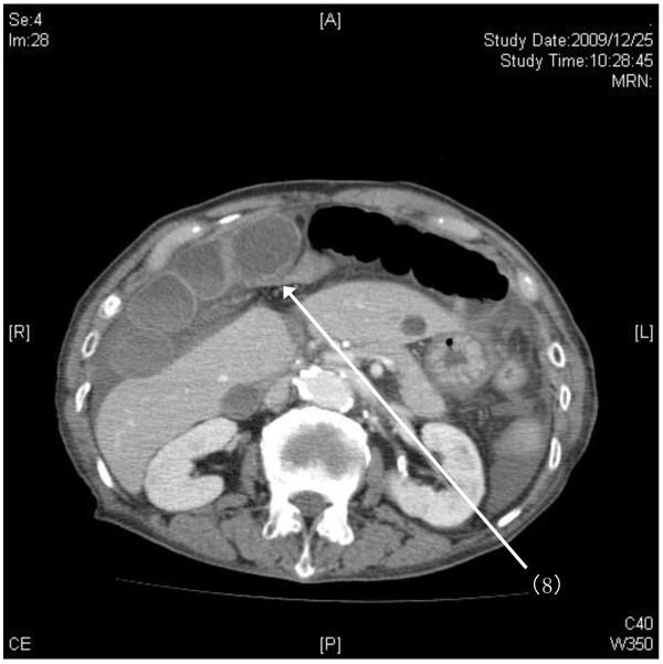
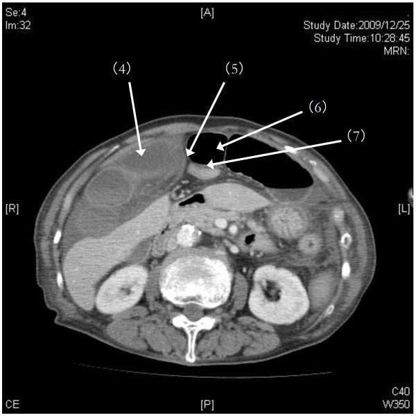
A 77-year-old Japanese woman presented to our emergency department with sudden hematemesis, occurring at least four to five times over a 12-hour period. No ulcer or gastrointestinal bleeding was detected on gastroendoscopy. A 40mm mass in the inferior lobe of the right lung was found on a chest X-ray, and our patient's symptoms were therefore initially ascribed to aspirated blood from lung tumor-associated hemoptysis. However, our patient continued to show signs of severe abdominal pain and decreased urine output despite aggressive hydration, leading her examining physicians to search for a possibly severe, occult abdominal pathology. On emergent computed tomography imaging, we found an acute strangulated internal hernia within the falciform ligament. Diagnosis was made by helical computed tomography, permitting rapid surgical intervention.
Our findings on computed tomography imaging assisted with the pre-operative diagnosis and enabled us to make a rapid surgical intervention. Early diagnosis may help preclude significant strangulation with unnecessary resection.
镰状韧带内的内疝极为罕见。文献检索仅发现14例小肠通过镰状韧带先天性缺陷发生内疝的病例,其中大多数是在手术中发现的。
一名77岁的日本女性因突发呕血到我院急诊科就诊,在12小时内至少发生了四到五次。胃镜检查未发现溃疡或胃肠道出血。胸部X光片发现右肺下叶有一个40毫米的肿块,因此患者的症状最初被归因于肺癌相关咯血引起的咯血。然而,尽管积极补液,患者仍持续出现严重腹痛和尿量减少的症状,促使她的主治医生寻找可能存在的严重隐匿性腹部病变。在急诊计算机断层扫描成像中,我们发现镰状韧带内有急性绞窄性内疝。通过螺旋计算机断层扫描做出诊断,从而能够迅速进行手术干预。
我们的计算机断层扫描成像结果有助于术前诊断,并使我们能够迅速进行手术干预。早期诊断可能有助于避免严重绞窄和不必要的切除。