Bhadage Chetan J, Vaishampayan Sagar, Umarji Hemant
Department of Oral Medicine and Radiology, MGV's KBH Dental College and Hospital, Nashik, Maharashtra, India.
Contemp Clin Dent. 2012 Apr;3(2):212-4. doi: 10.4103/0976-237X.96835.
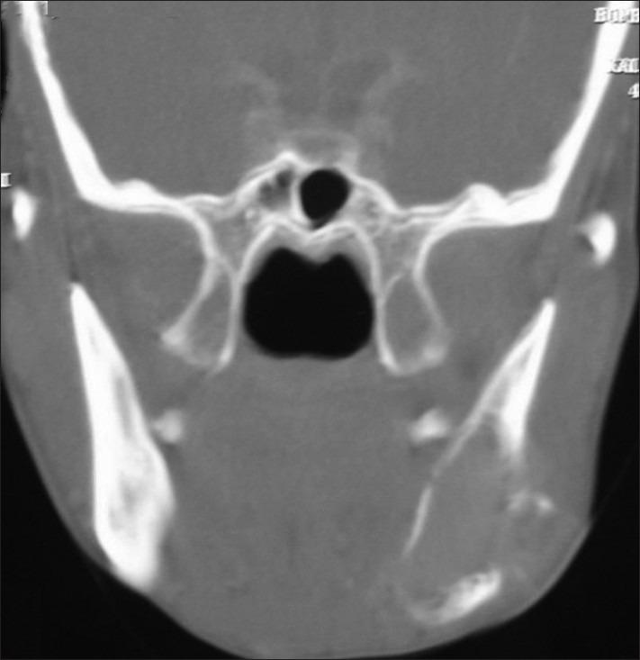
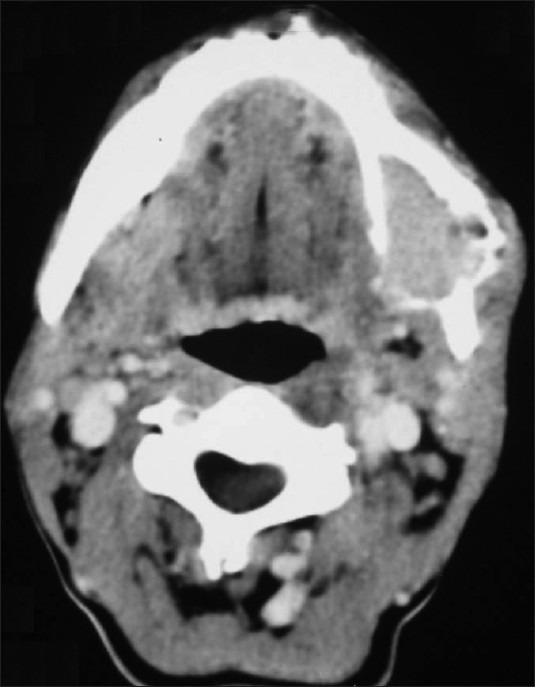
Mandibular metastasis due to thyroid carcinoma is not very frequent and the cases described in the literature are few. Due to its bloodstream dissemination, most of them are a consequence of the follicular variant of thyroid carcinomas. We are presenting a case in which the metastatic lesion of mandible was detected before diagnosis of primary malignancy.