Suppr超能文献

一名HIV阴性、HBV阳性的肝硬化患者发生原发性渗出性淋巴瘤伴异常T细胞表型的罕见病例及文献复习

An unusual case of Primary Effusion Lymphoma with aberrant T-cell phenotype in a HIV-negative, HBV-positive, cirrhotic patient, and review of the literature.

作者信息

Nepka Charitini, Kanakis Dimitrios, Samara Maria, Kapsoritakis Andreas, Potamianos Spyridon, Karantana Maria, Koukoulis Georgios

机构信息

Department of Pathology and Cytology, University-Hospital of Larissa, 41110 Larissa, Greece.

出版信息

Cytojournal. 2012;9:16. doi: 10.4103/1742-6413.97766. Epub 2012 Jun 29.

Abstract

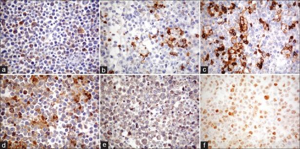
Primary effusion lymphoma (PEL) is an unusual, human herpes virus-8 (HHV-8)-associated type of lymphoma, presenting as lymphomatous effusion in body cavities, without a detectable tumor mass. It primarily affects human immunodeficiency virus (HIV)-infected patients, but has also been described in other immunocompromised individuals. Although PEL is a B-cell lymphoma, the neoplastic cells are usually of the 'null' phenotype by immunocytochemistry. This report describes a case of PEL with T-cell phenotype in a HIV-negative patient and reviews all the relevant cases published until now. Our patient suffered from cirrhosis associated with Hepatitis B virus (HBV) infection and presented with a large ascitic effusion, in the absence of peripheral lymphadenopathy or solid mass within either the abdomen or the thorax. Paracentesis disclosed large lymphoma cells with anaplastic features consisting of moderate cytoplasm and single or occasionally multiple irregular nuclei with single or multiple prominent nucleoli. Immunocytochemically, these cells were negative for both CD3 and CD20, but showed a positive reaction for T-cell markers CD43 and CD45RO (VCHL-1). Furthermore, the neoplastic cells revealed strong positivity for EMA and CD30, but they lacked expression of ALK-1, TIA-1, and Perforin. The immune status for both HHV-8 and Epstein-Barr virus (EBV) was evaluated and showed positive immunostaining only for the former. The combination of the immunohistochemistry results with the existence of a clonal rearrangement in the immunoglobulin heavy chain gene (identified by PCR), were compatible with the diagnosis of PEL. The presence of T-cell markers was consistent with the diagnosis of PEL with an aberrant T-cell phenotype.

摘要

原发性渗出性淋巴瘤(PEL)是一种罕见的、与人类疱疹病毒8型(HHV-8)相关的淋巴瘤,表现为体腔内的淋巴瘤性渗出液,无可检测到的肿瘤肿块。它主要影响人类免疫缺陷病毒(HIV)感染患者,但也在其他免疫功能低下的个体中有所描述。尽管PEL是一种B细胞淋巴瘤,但通过免疫细胞化学检测,肿瘤细胞通常呈“无”表型。本报告描述了1例HIV阴性患者的具有T细胞表型的PEL病例,并回顾了迄今为止发表的所有相关病例。我们的患者患有与乙型肝炎病毒(HBV)感染相关的肝硬化,表现为大量腹水,无外周淋巴结肿大或腹部及胸部内的实体肿块。腹腔穿刺术发现大的淋巴瘤细胞,具有间变特征,包括中等量细胞质和单个或偶尔多个不规则核,伴有单个或多个明显核仁。免疫细胞化学检测显示,这些细胞CD3和CD20均为阴性,但对T细胞标志物CD43和CD45RO(VCHL-1)呈阳性反应。此外,肿瘤细胞对EMA和CD30呈强阳性,但缺乏ALK-1、TIA-1和穿孔素的表达。对HHV-8和EB病毒(EBV)的免疫状态进行了评估,结果仅显示前者免疫染色阳性。免疫组化结果与免疫球蛋白重链基因中克隆重排的存在(通过PCR鉴定)相结合,符合PEL的诊断。T细胞标志物的存在与具有异常T细胞表型的PEL诊断一致。

https://cdn.ncbi.nlm.nih.gov/pmc/blobs/4b34/3424686/8238ec99afb4/CJ-9-16-g001.jpg

文献AI研究员

20分钟写一篇综述,助力文献阅读效率提升50倍。

立即体验

用中文搜PubMed

大模型驱动的PubMed中文搜索引擎

马上搜索

文档翻译

学术文献翻译模型,支持多种主流文档格式。

立即体验