Suppr超能文献

尿液和膀胱冲洗细胞学检查在尿路上皮癌检测中的应用:具有新可能的标准检测方法。

Urine and bladder washing cytology for detection of urothelial carcinoma: standard test with new possibilities.

机构信息

Institute of Pathology, Faculty of Medicine, University of Ljubljana, Ljubljana, Slovenia.

出版信息

Radiol Oncol. 2010 Dec;44(4):207-14. doi: 10.2478/v10019-010-0042-8. Epub 2010 Sep 29.

Abstract

BACKGROUND

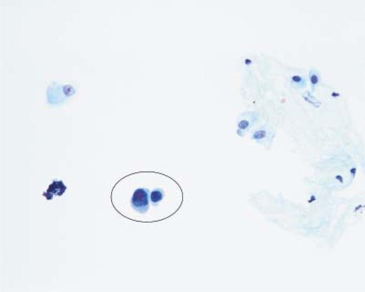
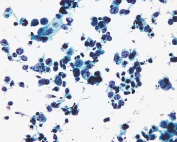
Light microscopic evaluation of cell morphology in preparations from urine or bladder washing containing exfoliated cells is a standard and primary method for the detection of bladder cancer and also malignancy from other parts of the urinary tract. The cytopathologic examination is a valuable method to detect an early recurrence of malignancy or new primary carcinoma during the follow-up of patients after the treatment of bladder cancer.

CONCLUSIONS

Characteristic cellular and nuclear signs of malignancy indicate invasive or in situ urothelial carcinoma or high-grade papillary urothelial carcinoma. However, low sensitivity of the method reflects the unreliable cytopathologic diagnosis of low-grade urothelial neoplasms as cellular and nuclear signs of malignancy in these neoplasms are poorly manifested. Many different markers were developed to improve the diagnosis of bladder carcinoma on urinary samples. UroVysion™ test is among the newest and most promising tests. By the method of in situ hybridization one can detect specific cytogenetic changes of urothelial carcinoma.

摘要

背景

在含有脱落细胞的尿液或膀胱冲洗液制剂中进行细胞形态学的光镜评估,是膀胱癌以及泌尿道其他部位恶性肿瘤检测的标准和主要方法。细胞病理学检查是一种有价值的方法,可在膀胱癌治疗后对患者进行随访时,用于检测恶性肿瘤的早期复发或新原发性癌。

结论

具有特征性的恶性细胞和核特征提示浸润性或原位尿路上皮癌或高级别乳头状尿路上皮癌。然而,该方法的敏感性较低,反映了对低级别尿路上皮肿瘤的不可靠的细胞病理学诊断,因为这些肿瘤中的恶性细胞和核特征表现不佳。为了提高对尿样中膀胱癌的诊断,已经开发了许多不同的标志物。UroVysion™ 检测就是最新和最有前途的检测方法之一。通过原位杂交方法,可以检测到尿路上皮癌的特定细胞遗传学改变。

https://cdn.ncbi.nlm.nih.gov/pmc/blobs/a5cf/3423702/543b9cefd2c0/rado-44-04-207f1.jpg

文献AI研究员

20分钟写一篇综述,助力文献阅读效率提升50倍。

立即体验

用中文搜PubMed

大模型驱动的PubMed中文搜索引擎

马上搜索

文档翻译

学术文献翻译模型,支持多种主流文档格式。

立即体验