Suppr超能文献

用于表征光学相干断层扫描中三维分辨率的可变尺寸条形目标。

Variable-sized bar targets for characterizing three-dimensional resolution in OCT.

作者信息

Gu Ruo Yu, Lurie Kristen L, Pipes Meagan, Ellerbee Audrey K

机构信息

E.L. Ginzton Laboratory and Department of Electrical Engineering Stanford University, Stanford, CA 94305, USA.

出版信息

Biomed Opt Express. 2012 Sep 1;3(9):2317-25. doi: 10.1364/BOE.3.002317. Epub 2012 Aug 30.

Abstract

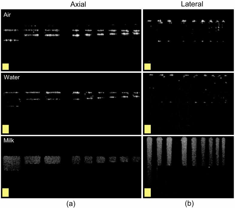
Resolution is an important figure of merit for imaging systems. We designed, fabricated and tested an optical phantom that mimics the simplicity of an Air Force Test Chart but can characterize both the axial and lateral resolution of optical coherence tomography systems. The phantom is simple to fabricate, simple to use and functions in versatile environments.

摘要

分辨率是成像系统的一项重要品质因数。我们设计、制作并测试了一种光学体模,它模仿了空军测试图的简易性,但能够表征光学相干断层扫描系统的轴向和横向分辨率。该体模制作简单、使用方便且能在多种环境中发挥作用。

https://cdn.ncbi.nlm.nih.gov/pmc/blobs/0699/3447571/0c381e2b3fed/boe-3-9-2317-g001.jpg

文献AI研究员

20分钟写一篇综述,助力文献阅读效率提升50倍。

立即体验

用中文搜PubMed

大模型驱动的PubMed中文搜索引擎

马上搜索

文档翻译

学术文献翻译模型,支持多种主流文档格式。

立即体验