Suppr超能文献

全肩关节置换术并不能纠正被侵蚀的肩胛盂的方向。

Total shoulder arthroplasty does not correct the orientation of the eroded glenoid.

机构信息

Department of Orthopaedic Surgery, University Paris Descartes, European Hospital Georges Pompidou, APHP, Paris, France.

出版信息

Acta Orthop. 2012 Oct;83(5):529-35. doi: 10.3109/17453674.2012.733916.

Abstract

BACKGROUND AND PURPOSE

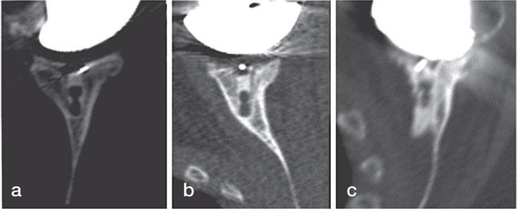
Alignment of the glenoid component with the scapula during total shoulder arthroplasty (TSA) is challenging due to glenoid erosion and lack of both bone stock and guiding landmarks. We determined the extent to which the implant position is governed by the preoperative erosion of the glenoid. Also, we investigated whether excessive erosion of the glenoid is associated with perforation of the glenoid vault.

METHODS

We used preoperative and postoperative CT scans of 29 TSAs to assess version, inclination, rotation, and offset of the glenoid relative to the scapula plane. The position of the implant keel within the glenoid vault was classified into three types: centrally positioned, component touching vault cortex, and perforation of the cortex.

RESULTS

Preoperative glenoid erosion was statistically significantly linked to the postoperative placement of the implant regarding all position parameters. Retroversion of the eroded glenoid was on average 10° (SD10) and retroversion of the implant after surgery was 7° (SD11). The implant keel was centered within the vault in 7 of 29 patients and the glenoid vault was perforated in 5 patients. Anterior cortex perforation was most frequent and was associated with severe preoperative posterior erosion, causing implant retroversion.

INTERPRETATION

The position of the glenoid component reflected the preoperative erosion and "correction" was not a characteristic of the reconstructive surgery. Severe erosion appears to be linked to vault perforation. If malalignment and perforation are associated with loosening, our results suggest reorientation of the implant relative to the eroded surface.

摘要

背景与目的

由于肩胛盂的侵蚀以及缺乏骨量和引导性标志,全肩关节置换术(TSA)中肩胛盂部件与肩胛骨的对准具有挑战性。我们确定了植入物位置在多大程度上受到肩胛盂术前侵蚀的影响。此外,我们还研究了肩胛盂过度侵蚀是否与肩胛盂穹顶穿孔有关。

方法

我们使用 29 例 TSA 的术前和术后 CT 扫描来评估肩胛盂相对于肩胛骨平面的位置、倾斜度、旋转和偏移。将植入物龙骨在肩胛盂穹顶内的位置分为三种类型:位于中心、组件触及穹顶皮质和皮质穿孔。

结果

术前肩胛盂侵蚀与术后植入物的位置在所有位置参数上均具有统计学显著相关性。侵蚀性肩胛盂的后旋平均为 10°(SD10),手术后的植入物后旋为 7°(SD11)。在 29 名患者中有 7 名患者的植入物龙骨位于穹顶中心,有 5 名患者的肩胛盂穹顶穿孔。前皮质穿孔最常见,与严重的术前后侵蚀有关,导致植入物后旋。

解释

肩胛盂组件的位置反映了术前的侵蚀,“纠正”不是重建手术的特征。严重的侵蚀似乎与穹顶穿孔有关。如果错位和穿孔与松动有关,我们的结果表明相对于侵蚀表面重新定向植入物。

https://cdn.ncbi.nlm.nih.gov/pmc/blobs/dc60/3488182/2c7ff493dee9/ORT-1745-3674-083-529_g001.jpg

文献AI研究员

20分钟写一篇综述,助力文献阅读效率提升50倍。

立即体验

用中文搜PubMed

大模型驱动的PubMed中文搜索引擎

马上搜索

文档翻译

学术文献翻译模型,支持多种主流文档格式。

立即体验