Suppr超能文献

去泛素化机制对于秀丽隐杆线虫胚胎极性的建立是必需的。

Deubiquitylation machinery is required for embryonic polarity in Caenorhabditis elegans.

机构信息

Department of Molecular Biology and Genetics, Cornell University, Ithaca, New York, United States of America.

出版信息

PLoS Genet. 2012;8(11):e1003092. doi: 10.1371/journal.pgen.1003092. Epub 2012 Nov 29.

Abstract

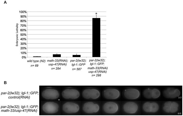
The Caenorhabditis elegans one-cell embryo polarizes in response to a cue from the paternally donated centrosome and asymmetrically segregates cell fate determinants that direct the developmental program of the worm. We have found that genes encoding putative deubiquitylating enzymes (DUBs) are required for polarization of one-cell embryos. Maternal loss of the proteins MATH-33 and USP-47 leads to variable inability to correctly establish and maintain asymmetry as defined by posterior and anterior polarity proteins PAR-2 and PAR-3. The first observable defect is variable positioning of the centrosome with respect to the cell cortex and the male pronucleus. The severity of the polarity defects correlates with distance of the centrosome from the cortex. Furthermore, polarity defects can be bypassed by mutations that bring the centrosome in close proximity to the cortex. In addition we find that polarity and centrosome positioning defects can be suppressed by compromising protein turnover. We propose that the DUB activity of MATH-33 and USP-47 stabilizes one or more proteins required for association of the centrosome with the cortex. Because these DUBs are homologous to two members of a group of DUBs that act in fission yeast polarity, we tested additional members of that family and found that another C. elegans DUB gene, usp-46, also contributes to polarity. Our finding that deubiquitylating enzymes required for polarity in Schizosaccharomyces pombe are also required in C. elegans raises the possibility that these DUBs act through an evolutionarily conserved mechanism to control cell polarity.

摘要

秀丽隐杆线虫的单细胞胚胎在受到来自父源中心体的信号刺激后会发生极化,并不均匀地分配细胞命运决定因子,从而指导线虫的发育程序。我们发现,编码假定去泛素化酶(DUB)的基因对于单细胞胚胎的极化是必需的。母体缺失蛋白 MATH-33 和 USP-47 会导致无法正确建立和维持前后极性蛋白 PAR-2 和 PAR-3 定义的不对称性。第一个可观察到的缺陷是中心体相对于细胞膜和雄性原核的位置不定。中心体与皮层的距离与极性缺陷的严重程度相关。此外,通过使中心体接近皮层的突变可以绕过极性缺陷。此外,我们发现通过破坏蛋白质周转可以抑制极性和中心体定位缺陷。我们提出,MATH-33 和 USP-47 的 DUB 活性稳定了一个或多个与中心体与皮层结合所必需的蛋白。由于这些 DUB 与裂殖酵母极性中一组 DUB 的两个成员同源,我们测试了该家族的其他成员,并发现另一个秀丽隐杆线虫 DUB 基因 usp-46 也有助于极性。我们发现裂殖酵母中极性所必需的去泛素化酶也在秀丽隐杆线虫中是必需的,这表明这些 DUB 通过一种进化上保守的机制来控制细胞极性。

https://cdn.ncbi.nlm.nih.gov/pmc/blobs/78e0/3510043/7b84a965288a/pgen.1003092.g001.jpg

文献AI研究员

20分钟写一篇综述,助力文献阅读效率提升50倍。

立即体验

用中文搜PubMed

大模型驱动的PubMed中文搜索引擎

马上搜索

文档翻译

学术文献翻译模型,支持多种主流文档格式。

立即体验