Suppr超能文献

非创伤性急诊医学中全身X线摄影的综述。

A review of full-body radiography in nontraumatic emergency medicine.

作者信息

Whiley S P, Mantokoudis G, Ott D, Zimmerman H, Exadaktylos A K

机构信息

Department of Human Biology, University of Cape Town, Observatory 7925, South Africa ; Lodox Systems, 7 Dartfield Road, Sandton, Johannesburg 2146, South Africa.

出版信息

Emerg Med Int. 2012;2012:108129. doi: 10.1155/2012/108129. Epub 2012 Dec 2.

Abstract

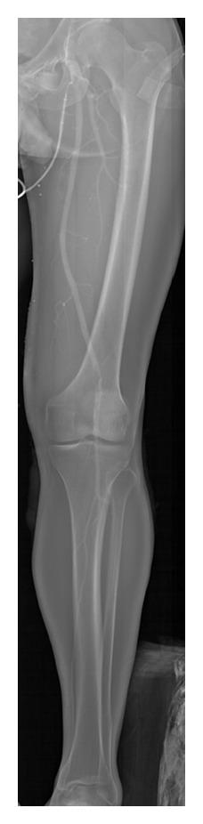
This paper reports on the application of full-body radiography to nontraumatic emergency situations. The Lodox Statscan is an X-ray machine capable of imaging the entire body in 13 seconds using linear slit scanning radiography (LSSR). Nontraumatic emergency applications in ventriculoperitoneal (VP) shunt visualisation, emergency room arteriography (ERA), detection of foreign bodies, and paediatric emergency imaging are presented. Reports show that the fast, full-body, and low-dose scanning capabilities of the Lodox system make it well suited to these applications, with the same or better image quality, faster processing times, and lower dose to patients. In particular, the large format scans allowing visualisation of a greater area of anatomy make it well suited to VP shunt monitoring, ERA, and the detection of foreign bodies. Whilst more studies are required, it can be concluded that the Lodox Statscan has the potential for widespread use in these and other nontraumatic emergency radiology applications.

摘要

本文报道了全身X线摄影在非创伤性紧急情况中的应用。Lodox Statscan是一台X线机,能够使用线性狭缝扫描摄影(LSSR)在13秒内对全身进行成像。介绍了其在脑室腹腔(VP)分流可视化、急诊室动脉造影(ERA)、异物检测和儿科急诊成像等非创伤性紧急情况中的应用。报告显示,Lodox系统快速、全身和低剂量的扫描能力使其非常适合这些应用,具有相同或更好的图像质量、更快的处理时间以及更低的患者辐射剂量。特别是大幅面扫描能够显示更大范围的解剖结构,使其非常适合VP分流监测、ERA和异物检测。虽然还需要更多研究,但可以得出结论,Lodox Statscan在这些及其他非创伤性紧急放射学应用中有广泛应用的潜力。

https://cdn.ncbi.nlm.nih.gov/pmc/blobs/7576/3517877/a513bc7a8c8f/EMI2012-108129.001.jpg

文献AI研究员

20分钟写一篇综述,助力文献阅读效率提升50倍。

立即体验

用中文搜PubMed

大模型驱动的PubMed中文搜索引擎

马上搜索

文档翻译

学术文献翻译模型,支持多种主流文档格式。

立即体验