Department of Neurosurgery, Università Politecnica delle Marche, Umberto I General Hospital, Ancona, Italy.
Onco Targets Ther. 2012;5:449-56. doi: 10.2147/OTT.S39429. Epub 2012 Dec 13.
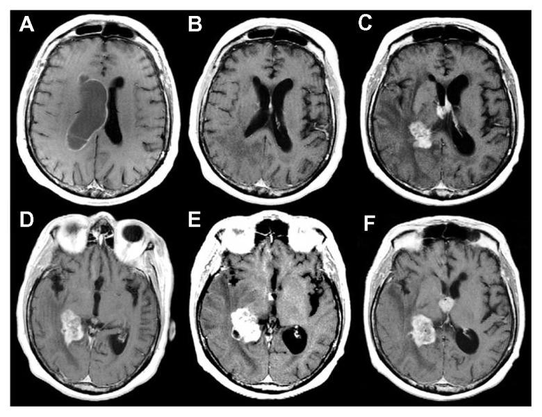
Although various prognostic indices exist for patients with malignant brain tumors, the prognostic significance of the subependymal spread of intracranial tumors is still a matter of debate. In this paper, we report the cases of two intraventricular lesions, a recurrent glioblastoma multiforme (GBM) and a brain metastasis, each successfully treated with a neuroendoscopic approach. Thanks to this minimally invasive approach, we achieved good therapeutic results: we obtained a histological diagnosis; we controlled intracranial hypertension by treating the associated hydrocephalus and, above all, compared with a microsurgical approach, we reduced the risks related to dissection and brain retraction. Moreover, in both cases, neuroendoscopy enabled us to identify an initial, precocious subependymal tumor spreading below the threshold of magnetic resonance imaging (MRI) detection. This finding, undetected in pre-operative MRI scans, was then evident during follow-up neuroimaging studies. In light of these data, a neuroendoscopic approach might play a leading role in better defining the prognosis and optimally tailored management protocols for GBM and brain metastasis.
尽管存在各种用于恶性脑肿瘤患者的预后指标,但颅内肿瘤的室管膜下播散的预后意义仍存在争议。本文报告了两例脑室病变,一例复发性多形性胶质母细胞瘤(GBM)和一例脑转移瘤,均成功采用神经内镜方法进行治疗。通过这种微创方法,我们取得了良好的治疗效果:获得了组织学诊断;通过治疗相关脑积水来控制颅内高压,而且与显微镜手术相比,我们降低了与解剖和脑牵拉相关的风险。此外,在这两种情况下,神经内镜使我们能够识别出初始的、早期的室管膜下肿瘤扩散,其程度低于磁共振成像(MRI)检测的阈值。这一在术前 MRI 扫描中未检测到的发现,随后在随访神经影像学研究中变得明显。根据这些数据,神经内镜方法可能在更好地定义 GBM 和脑转移瘤的预后以及最佳的个体化管理方案方面发挥主导作用。