Suppr超能文献

一名接受热疗和化疗治疗的恶性胸膜间皮瘤七年无病生存者:病例报告

A seven-year disease-free survivor of malignant pleural mesothelioma treated with hyperthermia and chemotherapy: a case report.

作者信息

Okonogi Noriyuki, Ebara Takeshi, Ishikawa Hitoshi, Yoshida Daisaku, Ueno Manabu, Maeno Toshitaka, Suga Tatsuo, Nakano Takashi

机构信息

Department of Radiation Oncology, Gunma University Graduate School of Medicine, 3-39-22 Showa-machi, Maebashi, Gunma, 371-8511, Japan.

出版信息

J Med Case Rep. 2012 Dec 28;6:427. doi: 10.1186/1752-1947-6-427.

Abstract

INTRODUCTION

Malignant pleural mesothelioma was once a rare finding but its incidence is increasing worldwide, most likely because of widespread exposure to asbestos. Although complete surgical resection is considered the only curative treatment, the results of surgery have shown a median survival time of only one year. In inoperable cases, chemotherapy, radiotherapy, and a combination of both have been considered as palliative therapy. Therefore, outcomes for inoperable cases have been poor. Here, we report the case of a long-term survivor treated with hyperthermia and chemotherapy.

CASE PRESENTATION

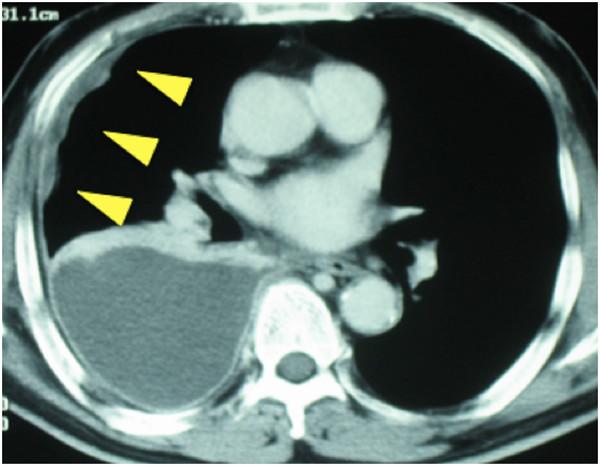
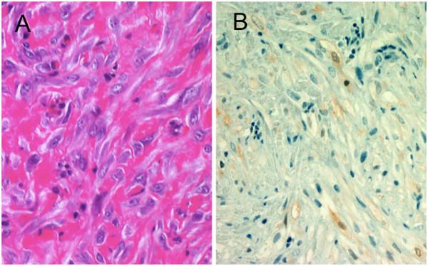
A 61-year-old Japanese man with a performance status of 1 due to chest pain was referred to our hospital. He had a history of asbestos exposure for approximately five years. A computed tomography scan showed diffuse extensive right pleural thickening with small nodular lesions, and video-assisted thoracoscopy revealed tumor invasion of the ipsilateral chest wall muscles. The histopathologic findings were consistent with a diagnosis of malignant pleural mesothelioma (sarcomatoid type). The tumor was diagnosed as being stage cT3N0M0. Our patient refused any invasive therapies including surgery and radiotherapy, and was therefore treated with hyperthermia and systemic chemotherapy with agents such as cisplatin and irinotecan. He underwent three hyperthermia sessions and a single course of chemotherapy without any severe complications. One month after treatment, a follow-up computed tomography scan showed no definitive abnormality in the thoracic space. Our patient has subsequently survived without any evident disease for more than seven years.

CONCLUSIONS

The combination of hyperthermia and chemotherapy may be a novel and safe therapeutic option for malignant pleural mesothelioma, and can be considered for patients ineligible for radical treatment. Further clinical studies of the combination of hyperthermia and chemotherapy are needed to confirm the effects of this treatment on malignant pleural mesothelioma.

摘要

引言

恶性胸膜间皮瘤曾经是一种罕见病症,但如今其在全球的发病率正在上升,这很可能是由于石棉的广泛暴露所致。尽管完整的手术切除被认为是唯一的治愈性治疗方法,但手术结果显示中位生存时间仅为一年。在无法手术的病例中,化疗、放疗以及两者联合都被视为姑息治疗。因此,无法手术病例的治疗效果一直不佳。在此,我们报告一例接受热疗和化疗后长期存活的病例。

病例介绍

一名61岁的日本男性因胸痛导致身体状况评分为1,被转诊至我院。他有大约五年的石棉接触史。计算机断层扫描显示右胸膜弥漫性广泛增厚并伴有小结节病变,电视辅助胸腔镜检查发现肿瘤侵犯同侧胸壁肌肉。组织病理学检查结果与恶性胸膜间皮瘤(肉瘤样型)的诊断一致。肿瘤被诊断为cT3N0M0期。我们的患者拒绝包括手术和放疗在内的任何侵入性治疗,因此接受了热疗和使用顺铂、伊立替康等药物的全身化疗。他接受了三次热疗疗程和一个化疗周期,未出现任何严重并发症。治疗一个月后,随访计算机断层扫描显示胸腔内无明确异常。我们的患者随后已无明显疾病存活超过七年。

结论

热疗和化疗联合可能是恶性胸膜间皮瘤一种新型且安全的治疗选择,对于不符合根治性治疗条件的患者可予以考虑。需要进一步开展热疗和化疗联合的临床研究,以证实这种治疗方法对恶性胸膜间皮瘤的疗效。

https://cdn.ncbi.nlm.nih.gov/pmc/blobs/5b41/3541074/072277bbea83/1752-1947-6-427-1.jpg

文献AI研究员

20分钟写一篇综述,助力文献阅读效率提升50倍。

立即体验

用中文搜PubMed

大模型驱动的PubMed中文搜索引擎

马上搜索

文档翻译

学术文献翻译模型,支持多种主流文档格式。

立即体验