Suppr超能文献

黄芩素通过线粒体介导的凋亡增强长春新碱对儿童急性淋巴细胞白血病 CCRF-CEM 细胞的抗白血病作用。

Baicalein Triggers Mitochondria-Mediated Apoptosis and Enhances the Antileukemic Effect of Vincristine in Childhood Acute Lymphoblastic Leukemia CCRF-CEM Cells.

机构信息

Department of Child Care, College of Humanities and Social Sciences, Southern Taiwan University of Science and Technology, Tainan 71005, Taiwan.

出版信息

Evid Based Complement Alternat Med. 2013;2013:124747. doi: 10.1155/2013/124747. Epub 2013 Jan 28.

Abstract

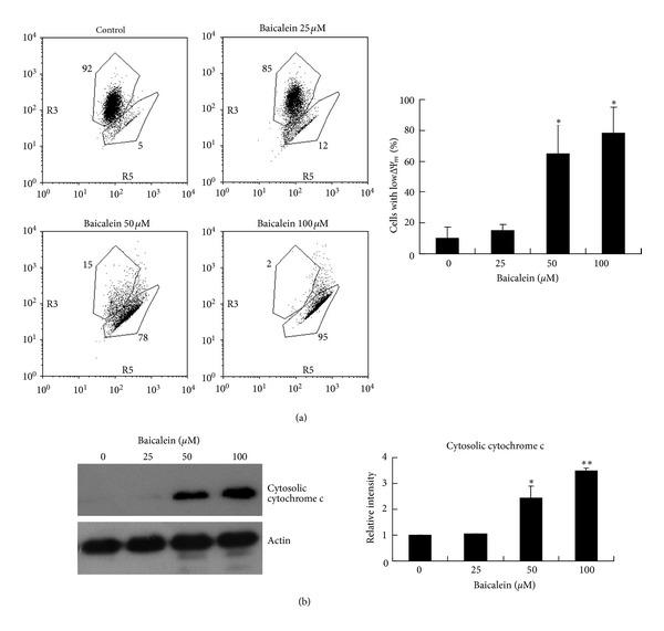
Acute lymphoblastic leukemia (ALL) accounts for approximately 75% of childhood leukemia, and chemotherapy remains the mainstay therapy. Baicalein is an active flavonoid used in traditional Chinese medicine and has recently been found to have anticancer, anti-inflammatory, and antiallergic properties. This study aims to investigate the molecular apoptotic mechanisms of baicalein in CCRF-CEM leukemic cells and to evaluate the combined therapeutic efficacy of baicalein with several commonly used chemotherapeutic drugs in CCRF-CEM cells. Our results demonstrate that baicalein induces mitochondria-dependent cleavage of caspases-9 and -3 and PARP with concomitant decreases in IAP family proteins, survivin, and XIAP. Furthermore, our results present for the first time that baicalein triggers a convergence of the intrinsic and extrinsic apoptotic pathways via the death receptor-caspase 8-tBid signaling cascade in CCRF-CEM cells. In addition, we also present for the first time that the combination of baicalein and vincristine results in a synergistic therapeutic efficacy. Overall, this combination strategy is recommended for future clinical trials in the treatment of pediatric leukemia owing to baicalein's beneficial effects in alleviating the vomiting, nausea, and skin rashes caused by chemotherapy.

摘要

急性淋巴细胞白血病(ALL)约占儿童白血病的 75%,化疗仍然是主要的治疗方法。黄芩素是一种用于中药的活性黄酮类化合物,最近发现具有抗癌、抗炎和抗过敏作用。本研究旨在探讨黄芩素在 CCRF-CEM 白血病细胞中的分子凋亡机制,并评估黄芩素与几种常用化疗药物联合治疗 CCRF-CEM 细胞的疗效。我们的结果表明,黄芩素诱导 caspase-9 和 caspase-3 的线粒体依赖性裂解以及 IAP 家族蛋白、生存素和 XIAP 的减少。此外,我们的结果首次表明,黄芩素通过 CCRF-CEM 细胞中的死亡受体-caspase 8-tBid 信号级联诱导内在和外在凋亡途径的收敛。此外,我们还首次表明,黄芩素和长春新碱的联合使用具有协同治疗效果。总的来说,由于黄芩素在减轻化疗引起的呕吐、恶心和皮疹方面的有益作用,这种联合治疗策略建议在未来的儿科白血病临床试验中使用。

https://cdn.ncbi.nlm.nih.gov/pmc/blobs/50ec/3580913/e2db957c728d/ECAM2013-124747.001.jpg

文献AI研究员

20分钟写一篇综述,助力文献阅读效率提升50倍。

立即体验

用中文搜PubMed

大模型驱动的PubMed中文搜索引擎

马上搜索

文档翻译

学术文献翻译模型,支持多种主流文档格式。

立即体验