Suppr超能文献

酷似肾上腺肿瘤的肺叶外型肺隔离症。

Extralobar pulmonary sequestration mimicking an adrenal tumor.

作者信息

Yang Hee Jo, Lee Seung Woo, Lee Hyun Ju, Lee Ji Hye, Jeon Youn Soo

机构信息

Department of Urology, Soonchunhyang University, Cheonan, Korea.

出版信息

JSLS. 2012 Oct-Dec;16(4):671-4. doi: 10.4293/108680812X13517013316834.

Abstract

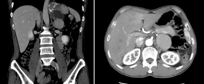
Pulmonary sequestration is a rare cystic malformation composed of bronchopulmonary tissue that is discontinuous from the tracheobronchial tree and has an anomalous systemic blood supply. We present a case of a 40-year old male who presented with an extralobar pulmonary sequestration and underwent a laparoscopic retroperitoneal mass excision. Preoperative imaging revealed a large 11.3-cm retroperitoneal tumor consisting of a multiloculated cystic lesion. The patient was discharged home, and at 3-mo follow-up no complaints were reported.

摘要

肺隔离症是一种罕见的囊性畸形,由与气管支气管树不连续且有异常体循环供血的支气管肺组织构成。我们报告一例40岁男性患者,其患有叶外型肺隔离症并接受了腹腔镜下腹膜后肿物切除术。术前影像学检查显示一个11.3厘米的巨大腹膜后肿瘤,由多房囊性病变组成。患者出院回家,3个月随访时未报告任何不适。

https://cdn.ncbi.nlm.nih.gov/pmc/blobs/442d/3558913/b2a016d22670/jls0041229460001.jpg

文献检索

告别复杂PubMed语法,用中文像聊天一样搜索,搜遍4000万医学文献。AI智能推荐,让科研检索更轻松。

立即免费搜索

文件翻译

保留排版,准确专业,支持PDF/Word/PPT等文件格式,支持 12+语言互译。

免费翻译文档

深度研究

AI帮你快速写综述,25分钟生成高质量综述,智能提取关键信息,辅助科研写作。

立即免费体验