Suppr超能文献

Ureterocele associated with renal agenesia presented as a pelvic mass in an adult.

作者信息

Mohseni Mohammad Ghasem, Hosseini Seyed Reza, Salavati Alborz, Dadgari Shahrzad

机构信息

Department of Urology, Faculty of Medicine, Tehran University of Medical Sciences, Tehran, Iran.

出版信息

Iran J Radiol. 2012 Dec;10(1):45-7. doi: 10.5812/iranjradiol.10262. Epub 2012 Dec 27.

Abstract

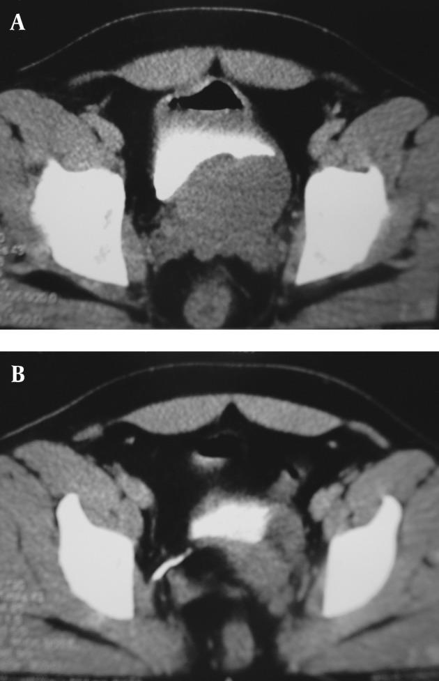
Adult ureteroceles are generally known as simple ureteroceles with minimal obstructive effects 1 that can usually be managed endoscopically. Such pathology presented with acute abdominal pain and fever in a 32-year-old man with left renal agenesia, a cranial blind left ureter and left obstructed ureterocele. The retained secretions were suppurative.

摘要
https://cdn.ncbi.nlm.nih.gov/pmc/blobs/4887/3618906/72516c176d24/iranjradiol-10-45-g001.jpg

相似文献

1
Ureterocele associated with renal agenesia presented as a pelvic mass in an adult.
Iran J Radiol. 2012 Dec;10(1):45-7. doi: 10.5812/iranjradiol.10262. Epub 2012 Dec 27.
4
Single-system ureteroceles in infants and children: imaging features.
Pediatr Radiol. 2000 Mar;30(3):139-46. doi: 10.1007/s002470050032.
5
Ureteroceles in children. A simplified and successful approach to management.
JAMA. 1983 Mar 18;249(11):1461-5. doi: 10.1001/jama.249.11.1461.
6
[Simple orthotopic ureteroceles in children].
J Radiol. 1980 Jun-Jul;61(6-7):387-95.
7
Obstructive ureterocele-an ongoing challenge.
World J Urol. 2004 Jun;22(2):107-14. doi: 10.1007/s00345-004-0407-y. Epub 2004 Jun 15.
9
Single system ureteroceles in childhood.
Aust N Z J Surg. 1988 Nov;58(11):903-7. doi: 10.1111/j.1445-2197.1988.tb01001.x.
10
Surgical treatment of ureteroceles in childhood--a reappraisal.
Z Kinderchir. 1987 Apr;42(2):103-8. doi: 10.1055/s-2008-1075562.

本文引用的文献

1
Congenital urological anomalies diagnosed in adulthood - management considerations.
J Pediatr Urol. 2008 Feb;4(1):2-7. doi: 10.1016/j.jpurol.2007.03.001. Epub 2007 Apr 27.
3
Ureteric bud remnant in two patients with renal agenesis: diagnosis by MRI.
J Comput Assist Tomogr. 1997 Sep-Oct;21(5):745-7. doi: 10.1097/00004728-199709000-00016.

文献AI研究员

20分钟写一篇综述,助力文献阅读效率提升50倍。

立即体验

用中文搜PubMed

大模型驱动的PubMed中文搜索引擎

马上搜索

文档翻译

学术文献翻译模型,支持多种主流文档格式。

立即体验