Goo Moon-Jung, Park Jin-Kyu, Hong Il-Hwa, Kim Ah-Young, Lee Eun-Mi, Lee Eun-Joo, Hwang Meeyul, Jeong Kyu-Shik
Department of Pathology, College of Veterinary Medicine, Kyungpook National University, Daegu 702-701, Korea.
Int J Mol Sci. 2013 May 24;14(6):11084-95. doi: 10.3390/ijms140611084.
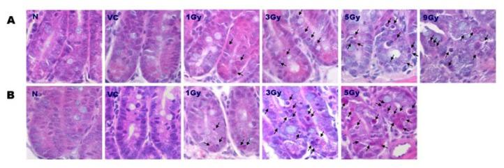
Recently, senescence marker protein-30 (SMP30) knockout (KO) mice have been reported to be susceptible to apoptosis, however, the role of SMP30 has not been characterized in the small intestine. The aim of the present study is to investigate the role of SMP30 in the process of spontaneous and γ-radiation-induced apoptosis in mouse small intestine. Eight-week-old male wild-type (WT) mice and SMP30 KO mice were examined after exposure to 0, 1, 3, 5, and 9 Gy of γ-radiation. Apoptosis in the crypts of the small intestine increased in the 0 to 5 Gy radiated SMP30 KO and WT mice. Radiation-induced apoptosis and the BAX/Bcl-2 ratio in the SMP30 KO mice were significantly increased in comparison to each identically treated group of WT mice (p < 0.05). The levels of spontaneous apoptosis in both WT and KO mice were similar (p > 0.05), indicating that increased apoptosis of crypt cells of SMP30 KO by irradiation can be associated with SMP30 depletion. These results suggested that SMP30 might be involved in overriding the apoptotic homeostatic mechanism in response to DNA damage.
最近,有报道称衰老标志物蛋白-30(SMP30)基因敲除(KO)小鼠易发生凋亡,然而,SMP30在小肠中的作用尚未得到明确。本研究的目的是探讨SMP30在小鼠小肠自发及γ辐射诱导凋亡过程中的作用。对8周龄雄性野生型(WT)小鼠和SMP30 KO小鼠进行0、1、3、5和9 Gy的γ辐射后进行检测。在接受0至5 Gy辐射的SMP30 KO和WT小鼠中,小肠隐窝中的凋亡增加。与各相同处理组的WT小鼠相比,SMP30 KO小鼠中辐射诱导的凋亡及BAX/Bcl-2比值显著增加(p < 0.05)。WT和KO小鼠的自发凋亡水平相似(p > 0.05),这表明SMP30基因敲除小鼠的隐窝细胞因辐射而增加的凋亡可能与SMP30缺失有关。这些结果表明,SMP30可能参与了对DNA损伤的凋亡稳态机制的调控。