Suppr超能文献

婴儿纤维性错构瘤的皮肤改变。

Cutaneous changes in fibrous hamartoma of infancy.

作者信息

F-Eire Pilar, Fojon Joaquin Gonzalez-Carrero

机构信息

Department of Pediatric Surgery, Complejo Hospitalario Universitario de Vigo, Spain.

出版信息

Indian J Dermatol. 2013 Mar;58(2):160. doi: 10.4103/0019-5154.108089.

Abstract

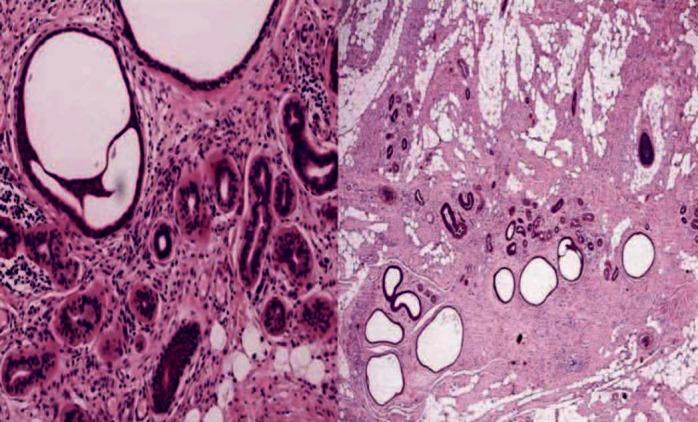
Only a few published case of fibrous hamartoma of infancy (FHI) have commented on the changes in the overlying skin. There are descriptions of individual cases with cutaneous hyperpigmentation, hypertrichosis and hyperhidrosis. It is interesting to describe our case because, to our knowledge, the altered pigmentation of the overlying skin, with hairs on the surface, and eccrine gland hyperplasia combined with abortive hair follicles has not been reported together in association with the FHI. We recommend that all the biopsies must be excisional including overlying skin, thus the epidermal and dermal adnexal changes can be assessed in the microscopic evaluation which could have relevant implications from clinical and embryological point of view.

摘要

仅有少数已发表的婴儿纤维性错构瘤(FHI)病例提及了其上方皮肤的变化。有个别病例出现皮肤色素沉着、多毛症和多汗症的描述。描述我们的病例很有意思,因为据我们所知,FHI合并上方皮肤色素改变、表面有毛发以及小汗腺增生伴毛囊发育不全的情况尚未见一同报道。我们建议所有活检均须完整切除包括上方皮肤,这样在显微镜评估中就能对表皮和皮肤附属器的变化进行评估,这从临床和胚胎学角度可能具有相关意义。

https://cdn.ncbi.nlm.nih.gov/pmc/blobs/0eb0/3657246/20ed33973e11/IJD-58-160e-g001.jpg

文献AI研究员

20分钟写一篇综述,助力文献阅读效率提升50倍。

立即体验

用中文搜PubMed

大模型驱动的PubMed中文搜索引擎

马上搜索

文档翻译

学术文献翻译模型,支持多种主流文档格式。

立即体验