Suppr超能文献

聚果榕茎皮对阿霉素诱导的肾脏和睾丸毒性的保护作用。

Protective effects of Ficus racemosa stem bark against doxorubucin-induced renal and testicular toxicity.

作者信息

Ahmed Faiyaz, Urooj Asna, Karim Alias A

机构信息

Department of Studies in Food Science and Nutrition, University of Mysore, Manasagangotri, Mysore, Karnataka, India ; Food Technology Division, School of Industrial Technology, Universiti Sains Malaysia, Penang, Malaysia.

出版信息

Pharmacogn Mag. 2013 Apr;9(34):130-4. doi: 10.4103/0973-1296.111265.

Abstract

BACKGROUND

Ficus racemosa Linn. (Moraceae) bark is a rich source of phenolic compounds known to possess potential antioxidant activity offering numerous health benefits.

MATERIALS AND METHODS

The present study evaluated the protective effects of sequential acetone extract of Ficus racemosa bark at two doses (FR250; 250 mg kg(-1) and FR500; 500 mg kg(-1) p.o.) against doxorubicin-induced renal and testicular toxicity in rats.

RESULTS

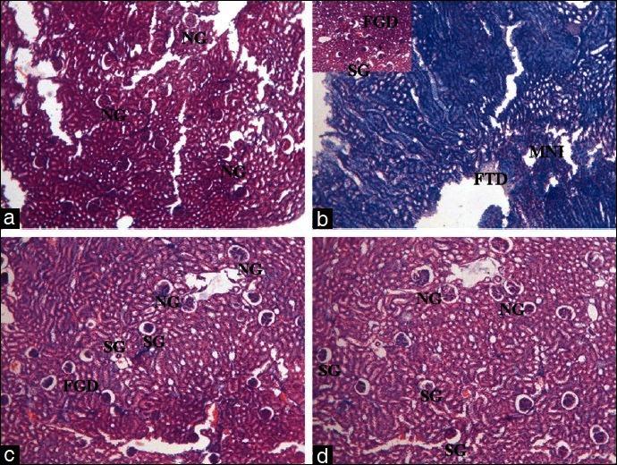
Doxorubicin administration resulted in significant decrease (P ≤ 0.05) in total protein and glutathione concentrations, while increased (P ≤ 0.05) serum urea, creatinine and thiobarbituric acid reactive substances (TBARS). Extract pretreatment restored biochemical parameters toward normalization. FR250 and FR500 decreased serum creatinine levels by 22.5% and 44%, while serum urea levels were decreased by 30.4% and 58.8%, respectively. Extract pretreatment (500 mg kg(-1)) decreased TBARS and increased glutathione levels in the kidney and testis to control levels. These observations were substantiated by histopathological studies, wherein normal renal and testicular architecture was restored in FR500 group.

CONCLUSION

Doxorubicin exposure results in pronounced oxidative stress, and administration of F. racemosa stem bark extract offers significant renal and testicular protection by inhibiting lipidperoxidation-mediated through scavenging free radicals.

摘要

背景

无花果(桑科)树皮富含酚类化合物,已知具有潜在的抗氧化活性,对健康有益。

材料与方法

本研究评估了无花果树皮连续丙酮提取物在两种剂量(FR250;250mg/kg和FR500;500mg/kg口服)下对阿霉素诱导的大鼠肾脏和睾丸毒性的保护作用。

结果

给予阿霉素导致总蛋白和谷胱甘肽浓度显著降低(P≤0.05),而血清尿素、肌酐和硫代巴比妥酸反应性物质(TBARS)升高(P≤0.05)。提取物预处理使生化参数恢复正常。FR250和FR500分别使血清肌酐水平降低22.5%和44%,血清尿素水平分别降低30.4%和58.8%。提取物预处理(500mg/kg)使肾脏和睾丸中的TBARS降低,谷胱甘肽水平升高至对照水平。这些观察结果得到了组织病理学研究的证实,其中FR500组的肾脏和睾丸结构恢复正常。

结论

阿霉素暴露会导致明显的氧化应激,而给予无花果茎皮提取物通过清除自由基抑制脂质过氧化,从而对肾脏和睾丸提供显著保护。

https://cdn.ncbi.nlm.nih.gov/pmc/blobs/f1ee/3680852/d445e3b96631/PM-9-130-g001.jpg

文献AI研究员

20分钟写一篇综述,助力文献阅读效率提升50倍。

立即体验

用中文搜PubMed

大模型驱动的PubMed中文搜索引擎

马上搜索

文档翻译

学术文献翻译模型,支持多种主流文档格式。

立即体验