Suppr超能文献

苦瓜中的葫芦烷三萜诱导乳腺癌细胞凋亡和自噬,部分是通过过氧化物酶体增殖物激活受体 γ 的激活。

Cucurbitane Triterpenoid from Momordica charantia Induces Apoptosis and Autophagy in Breast Cancer Cells, in Part, through Peroxisome Proliferator-Activated Receptor γ Activation.

机构信息

Department of Biological Science and Technology, China Medical University, Taichung 40402, Taiwan.

出版信息

Evid Based Complement Alternat Med. 2013;2013:935675. doi: 10.1155/2013/935675. Epub 2013 Jun 13.

Abstract

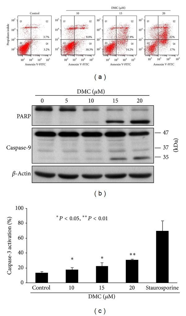
Although the antitumor activity of the crude extract of wild bitter gourd (Momordica charantia L.) has been reported, its bioactive constituents and the underlying mechanism remain undefined. Here, we report that 3 β ,7 β -dihydroxy-25-methoxycucurbita-5,23-diene-19-al (DMC), a cucurbitane-type triterpene isolated from wild bitter gourd, induced apoptotic death in breast cancer cells through peroxisome proliferator-activated receptor (PPAR) γ activation. Luciferase reporter assays indicated the ability of DMC to activate PPAR γ , and pharmacological inhibition of PPAR γ protected cells from DMC's antiproliferative effect. Western blot analysis indicated that DMC suppressed the expression of many PPAR γ -targeted signaling effectors, including cyclin D1, CDK6, Bcl-2, XIAP, cyclooxygenase-2, NF- κ B, and estrogen receptor α , and induced endoplasmic reticulum stress, as manifested by the induction of GADD153 and GRP78 expression. Moreover, DMC inhibited mTOR-p70S6K signaling through Akt downregulation and AMPK activation. The ability of DMC to activate AMPK in liver kinase (LK) B1-deficient MDA-MB-231 cells suggests that this activation was independent of LKB1-regulated cellular metabolic status. However, DMC induced a cytoprotective autophagy presumably through mTOR inhibition, which could be overcome by the cotreatment with the autophagy inhibitor chloroquine. Together, the ability of DMC to modulate multiple PPAR γ -targeted signaling pathways provides a mechanistic basis to account for the antitumor activity of wild bitter gourd.

摘要

虽然野生苦瓜(Momordica charantia L.)粗提物的抗肿瘤活性已被报道,但它的生物活性成分和潜在机制仍不清楚。在这里,我们报告称,从野生苦瓜中分离得到的葫芦烷型三萜 3β,7β-二羟基-25-甲氧基瓜-5,23-二烯-19-醛(DMC)通过过氧化物酶体增殖物激活受体(PPAR)γ激活诱导乳腺癌细胞凋亡死亡。荧光素酶报告基因检测表明 DMC 能够激活 PPARγ,而 PPARγ 的药理学抑制可保护细胞免受 DMC 的抗增殖作用。Western blot 分析表明,DMC 抑制了许多 PPARγ靶向信号效应物的表达,包括细胞周期蛋白 D1、CDK6、Bcl-2、XIAP、环氧化酶-2、NF-κB 和雌激素受体α,并诱导内质网应激,表现为 GADD153 和 GRP78 的诱导表达。此外,DMC 通过 Akt 下调和 AMPK 激活抑制 mTOR-p70S6K 信号通路。DMC 在 LKB1 缺失的 MDA-MB-231 细胞中激活 AMPK 的能力表明,这种激活不依赖于 LKB1 调节的细胞代谢状态。然而,DMC 诱导了一种保护性自噬,可能是通过抑制 mTOR,而自噬抑制剂氯喹的共同处理可以克服这种作用。总之,DMC 调节多种 PPARγ 靶向信号通路的能力为解释野生苦瓜的抗肿瘤活性提供了机制基础。

https://cdn.ncbi.nlm.nih.gov/pmc/blobs/2a79/3697288/7169316be782/ECAM2013-935675.001.jpg

文献AI研究员

20分钟写一篇综述,助力文献阅读效率提升50倍。

立即体验

用中文搜PubMed

大模型驱动的PubMed中文搜索引擎

马上搜索

文档翻译

学术文献翻译模型,支持多种主流文档格式。

立即体验