Suppr超能文献

一例发生于脑部的大B细胞血管内淋巴瘤。

A case of large B-cell intravascular lymphoma in the brain.

作者信息

Gan Lee Ping, Ooi Wei Seong, Lee Hwei Yee, Ng Wai Hoe

机构信息

Department of Neurosurgery, National Neuroscience Institute, Singapore.

出版信息

Surg Neurol Int. 2013 Jul 26;4:99. doi: 10.4103/2152-7806.115709. eCollection 2013.

Abstract

BACKGROUND

Intravascular lymphoma is a rare and fatal disease that can have central nervous system (CNS) manifestations. It is usually a diagnosis made postmortem. This is partly due to its varied presentation, which lends itself to the complexity of diagnosis.

CASE DESCRIPTION

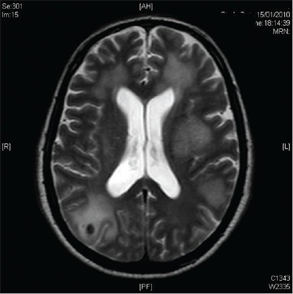
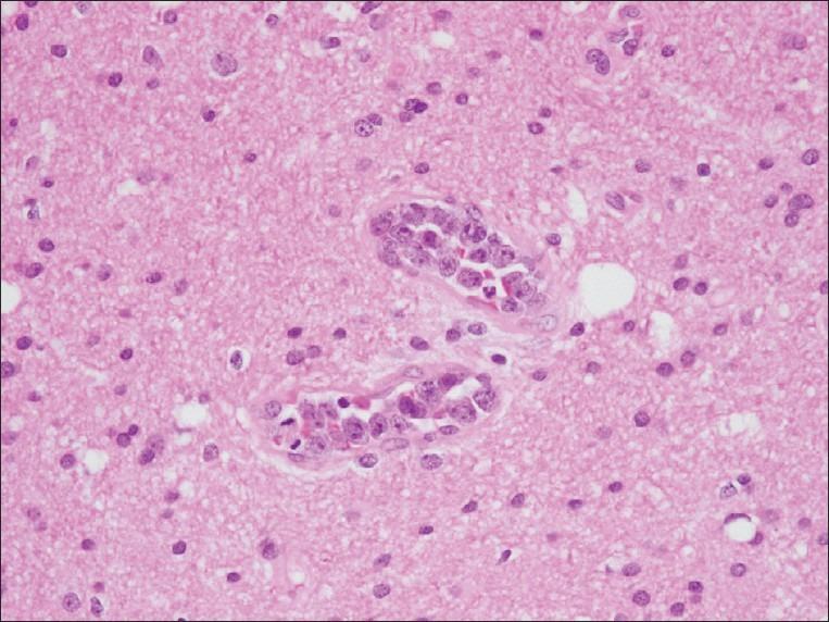
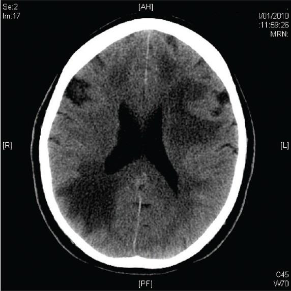
We report a rare case of intravascular lymphoma in the brain found antemortem.

CONCLUSION

Review of the literature shows that a timely diagnostic tissue biopsy together with aggressive combination chemotherapy treatment can improve patient outcome.

摘要

背景

血管内淋巴瘤是一种罕见的致命疾病,可出现中枢神经系统(CNS)表现。它通常是在尸检后才得以诊断。部分原因在于其表现多样,这使得诊断变得复杂。

病例描述

我们报告一例生前发现的脑部罕见血管内淋巴瘤病例。

结论

文献回顾表明,及时进行诊断性组织活检并联合积极的化疗可以改善患者预后。

https://cdn.ncbi.nlm.nih.gov/pmc/blobs/237e/3740612/e5be0d1193a9/SNI-4-99-g001.jpg

文献AI研究员

20分钟写一篇综述,助力文献阅读效率提升50倍。

立即体验

用中文搜PubMed

大模型驱动的PubMed中文搜索引擎

马上搜索

文档翻译

学术文献翻译模型,支持多种主流文档格式。

立即体验