Ullah Mujib, Eucker Jan, Sittinger Michael, Ringe Jochen
Stem Cell Res Ther. 2013 Aug 19;4(4):99. doi: 10.1186/scrt310.
Guided migration of chondrogenically differentiated cells has not been well studied, even though it may be critical for growth, repair, and regenerative processes. The chemokine CCL25 is believed to play a critical role in the directional migration of leukocytes and stem cells. To investigate the motility effect of serum- or CCL25-mediated chemotaxis on chondrogenically differentiated cells, mesenchymal stem cells (MSCs) were induced to chondrogenic lineage cells.
MSC-derived chondrogenically differentiated cells were characterized for morphology, histology, immunohistochemistry, quantitative polymerase chain reaction (qPCR), surface profile, and serum- or CCL25-mediated cell migration. Additionally, the chemokine receptor, CCR9, was examined in different states of MSCs.
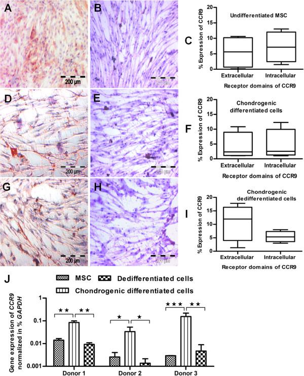
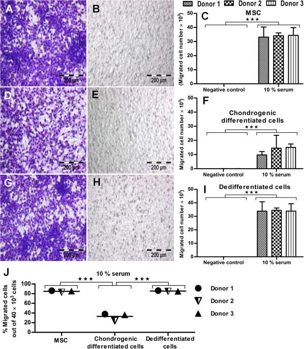
The chondrogenic differentiated state of MSCs was positive for collagen type II and Alcian blue staining, and showed significantly upregulated expression of COL2A1and SOX9, and downregulated expression of CD44, CD73, CD90, CD105 and CD166, in contrast to the undifferentiated and dedifferentiated states of MSCs. For the chondrogenic differentiated, undifferentiated, and dedifferentiated states of MSCs, the serum-mediated chemotaxis was in a percentage ratio of 33%:84%:85%, and CCL25-mediated chemotaxis was in percentage ratio of 12%:14%:13%, respectively. On the protein level, CCR9, receptor of CCL25, was expressed in the form of extracellular and intracellular domains. On the gene level, qPCR confirmed the expression of CCR9 in different states of MSCs.
CCL25 is an effective cue to guide migration in a directional way. In CCL25-mediated chemotaxis, the cell-migration rate was almost the same for different states of MSCs. In serum-mediated chemotaxis, the cell-migration rate of chondrogenically differentiated cells was significantly lower than that in undifferentiated or dedifferentiated cells. Current knowledge of the surface CD profile and cell migration could be beneficial for regenerative cellular therapies.
尽管软骨分化细胞的定向迁移对生长、修复和再生过程可能至关重要,但目前对此研究尚不充分。趋化因子CCL25被认为在白细胞和干细胞的定向迁移中起关键作用。为了研究血清或CCL25介导的趋化作用对软骨分化细胞运动性的影响,将间充质干细胞(MSC)诱导分化为软骨谱系细胞。
对源自MSC的软骨分化细胞进行形态学、组织学、免疫组织化学、定量聚合酶链反应(qPCR)、表面特征以及血清或CCL25介导的细胞迁移等方面的鉴定。此外,还检测了不同状态MSC中趋化因子受体CCR9的情况。
与未分化和去分化状态的MSC相比,MSC的软骨分化状态对II型胶原和阿尔辛蓝染色呈阳性,COL2A1和SOX9的表达显著上调,而CD44、CD73、CD90、CD105和CD166的表达下调。对于MSC的软骨分化、未分化和去分化状态,血清介导的趋化作用百分比分别为33%:84%:85%,CCL25介导的趋化作用百分比分别为12%:14%:13%。在蛋白水平上,CCL25的受体CCR9以细胞外和细胞内结构域的形式表达。在基因水平上,qPCR证实了CCR9在不同状态MSC中的表达。
CCL25是一种有效的定向引导迁移信号。在CCL25介导的趋化作用中,不同状态的MSC细胞迁移率几乎相同。在血清介导的趋化作用中,软骨分化细胞的细胞迁移率显著低于未分化或去分化细胞。目前关于表面CD特征和细胞迁移的知识可能有助于再生细胞治疗。