Suppr超能文献

A Saudi Patient with an Interstitial Deletion of Short Arm of Chromosome 3 (p13 to p21) and its Association with Joubert's Syndrome Features.

作者信息

Mersal Ali Y, Basha Mahaboob K, Brinji Zaina S, Avand Ghazal

机构信息

Department of Pediatrics, Neonatology Section, King Faisal Specialist Hospital and Research Center, Jeddah, Saudi Arabia.

出版信息

J Clin Neonatol. 2013 Jan;2(1):46-9. doi: 10.4103/2249-4847.109250.

Abstract

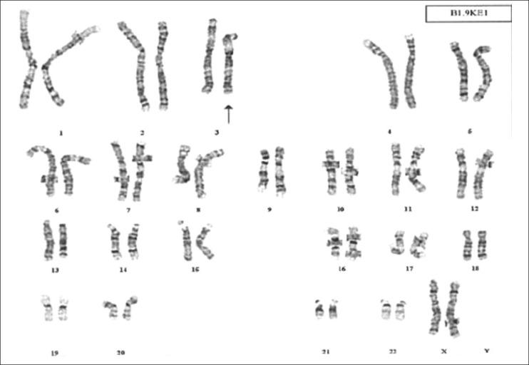
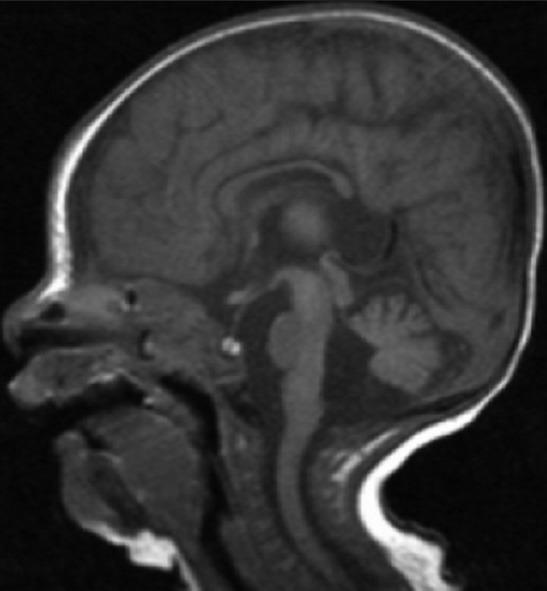
We report a case of 4 weeks old girl with a de novo interstitial deletion of the short arm of chromosome 3 (p13-p21) and clinical findings typical of proximal 3p deletion together with heart defects, choanal atresia, ear anomalies, central nervous system anomalies, renal anomalies and associated Joubert's syndrome (JS). Family history is unremarkable and parenteral chromosomes were normal. The clinical manifestations of the patient are compared with those of 11 patients previously described with a proximal 3p deletion. The additional JS features associated with this syndrome were described. This is the first case report in English literature describing 3p deletion associated with additional JS features.

摘要
https://cdn.ncbi.nlm.nih.gov/pmc/blobs/e0a8/3761952/e6e4c8ed2542/JCN-2-46-g001.jpg

文献AI研究员

20分钟写一篇综述,助力文献阅读效率提升50倍。

立即体验

用中文搜PubMed

大模型驱动的PubMed中文搜索引擎

马上搜索

文档翻译

学术文献翻译模型,支持多种主流文档格式。

立即体验