Suppr超能文献

评估以废水为主的小溪水中重金属(铜、镍、铁、钴、锰、铬、锌)污染及其对斑纹刺鳅糖原代谢和组织学的影响。

Assessment of heavy metal (Cu, Ni, Fe, Co, Mn, Cr, Zn) pollution in effluent dominated rivulet water and their effect on glycogen metabolism and histology of Mastacembelus armatus.

作者信息

Javed Mehjbeen, Usmani Nazura

机构信息

Aquatic Toxicology Research Laboratory, Department of Zoology, Aligarh Muslim University, Aligarh, 202002 India.

出版信息

Springerplus. 2013 Aug 20;2:390. doi: 10.1186/2193-1801-2-390. eCollection 2013.

Abstract

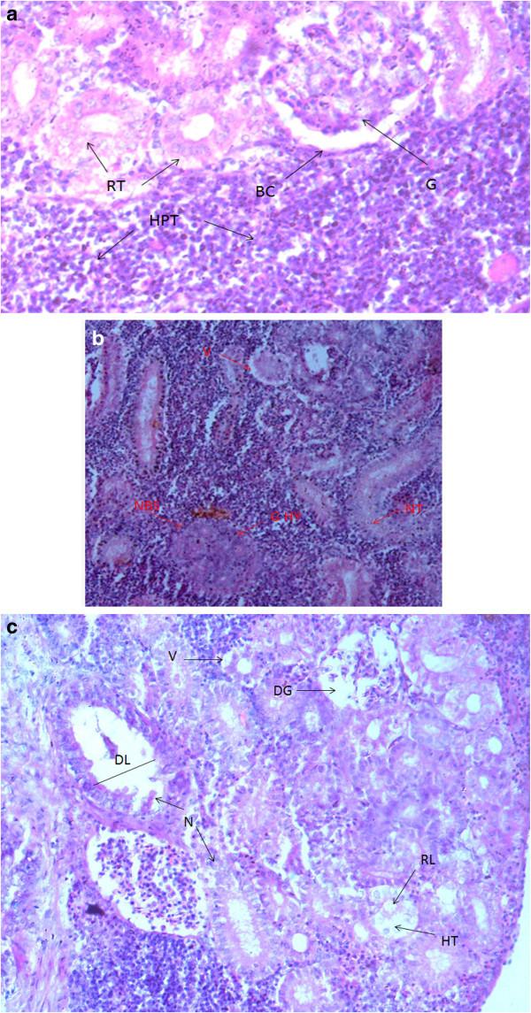
The present study was conducted to examine the contamination of rivulet situated at Kasimpur, Aligarh (27.218° N; 79.378° E). It receives the wastewater of Harduaganj Thermal Power Plant (HTPS) containing fly ash and heavy metals. Among the heavy metals estimated in the rivulet water, Fe (8.71 mgL(-1)) was present in the highest concentration followed by Cu (0.86 mgL(-1)), Zn (0.30 mgL(-1)) Mn (0.21 mgL(-1)), Ni (0.12 mgL(-1)), Co (0.11 mgL(-1)) and Cr (0.10 mgL(-1)). The values for the heavy metals such as Fe, Ni and Mn were beyond the limits set by UNEPGEMS. Bioaccumulation of these heavy metals was detected in tissues such as gills, liver, kidney, muscle and integument of the fish Mastacembelus armatus. Accumulation of Fe (213.29 - 2601.49 mgkg(-1).dw) was highest in all the organs. Liver was the most influenced organ and integument had the least metal load. The accumulation of Fe, Zn, Cu and Mn, observed in the tissues were above the values recommended by FAO/WHO. Biochemical estimation related to blood glucose, liver and muscle glycogen conducted showed significant (p < 0.01) elevation in blood glucose content over control (17.73%), whereas liver glycogen dropped significantly (p < 0.01) over control (-89.83%), and similarly muscle glycogen also decreased significantly (p < 0.05) over control (-71.95%), suggesting enhanced glycolytic capacity to fuel hepatic metabolism. Histopathological alterations were also observed in selected organs (gills, liver and kidney) of Mastacembelus armatus.

摘要

本研究旨在检测位于阿利加尔卡西姆布尔(北纬27.218°;东经79.378°)的小溪的污染情况。该小溪接纳了含有粉煤灰和重金属的哈杜阿甘杰热电厂(HTPS)的废水。在所检测的小溪水中的重金属中,铁(8.71毫克/升)的浓度最高,其次是铜(0.86毫克/升)、锌(0.30毫克/升)、锰(0.21毫克/升)、镍(0.12毫克/升)、钴(0.11毫克/升)和铬(0.10毫克/升)。铁、镍和锰等重金属的值超过了联合国环境规划署全球环境监测系统设定的限值。在须鳗鲶鱼的鳃、肝脏、肾脏、肌肉和体表等组织中检测到了这些重金属的生物累积。铁(213.29 - 2601.49毫克/千克干重)在所有器官中的累积量最高。肝脏是受影响最大的器官,而体表的金属负荷最小。在组织中观察到的铁、锌、铜和锰的累积量高于粮农组织/世界卫生组织推荐的值。与血糖、肝糖原和肌糖原相关的生化检测显示,血糖含量比对照组显著升高(p < 0.01)(升高了(17.73%)),而肝糖原比对照组显著下降(p < 0.01)(下降了(-89.83%)),同样,肌糖原也比对照组显著下降(p < 0.05)(下降了(-71.95%)),这表明糖酵解能力增强以促进肝脏代谢。在须鳗鲶鱼的选定器官(鳃、肝脏和肾脏)中也观察到了组织病理学改变。

https://cdn.ncbi.nlm.nih.gov/pmc/blobs/0865/3795878/365aa24a603c/40064_2013_565_Fig1_HTML.jpg

文献AI研究员

20分钟写一篇综述,助力文献阅读效率提升50倍。

立即体验

用中文搜PubMed

大模型驱动的PubMed中文搜索引擎

马上搜索

文档翻译

学术文献翻译模型,支持多种主流文档格式。

立即体验