Suppr超能文献

Inflammatory myofibroblastic tumor of the kidney with viral hepatitis B and trauma: A case report.

作者信息

Li Zeyu, Wang Weigang, Wang Yuantao, Zhai Xiuyu, Tian Ye, Fu Yaowen, Zhou Honglan

机构信息

Center of Urology, First Hospital, Jilin University, Changchun, Jilin 130021, P.R. China.

出版信息

Oncol Lett. 2013 Dec;6(6):1741-1743. doi: 10.3892/ol.2013.1598. Epub 2013 Oct 1.

Abstract

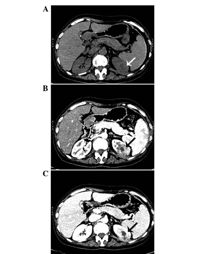
Inflammatory myofibroblastic tumor (IMT) is a rare entity that most commonly involves the lung. However, an IMT of the kidney is extremely rare. The etiology and pathogenesis of IMT remain unknown. The present study describes the case of a 48-year-old female who presented asymptomatically. Imaging investigations revealed a mass in the left kidney and a pathological examination of the nephrectomy specimen revealed an IMT. The patient had a history of trauma in the left hypochondrium 13 years previously and a history of hepatitis B for 20 years. The latter developed into hepatic cirrhosis, hypersplenism and coagulation disorders, which may play have played a significant role in the development of the IMT of the kidney in the present case and also may aid in improving the understanding of the etiology and pathogenesis of IMT of the kidney.

摘要
https://cdn.ncbi.nlm.nih.gov/pmc/blobs/0ec0/3835164/7ff8247a17dd/OL-06-06-1741-g00.jpg

文献AI研究员

20分钟写一篇综述,助力文献阅读效率提升50倍。

立即体验

用中文搜PubMed

大模型驱动的PubMed中文搜索引擎

马上搜索

文档翻译

学术文献翻译模型,支持多种主流文档格式。

立即体验