Suppr超能文献

患有多处肝脏和肺部转移灶的阴道癌患者实现了长期生存。

Vaginal cancer with multiple liver and pulmonary metastases that achieved long-term survival.

作者信息

Kim Ji-Young, Lee Kyoung-A, Kim Byoung-Gie, Bae Duk-Soo, Lee Jeong-Won

机构信息

Department of Obstetrics and Gynecology, Samsung Medical Center, Sungkyunkwan University School of Medicine, Seoul, Korea.

出版信息

Obstet Gynecol Sci. 2013 Nov;56(6):416-9. doi: 10.5468/ogs.2013.56.6.416. Epub 2013 Nov 15.

Abstract

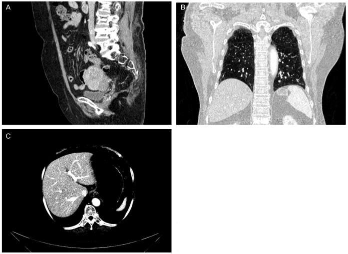
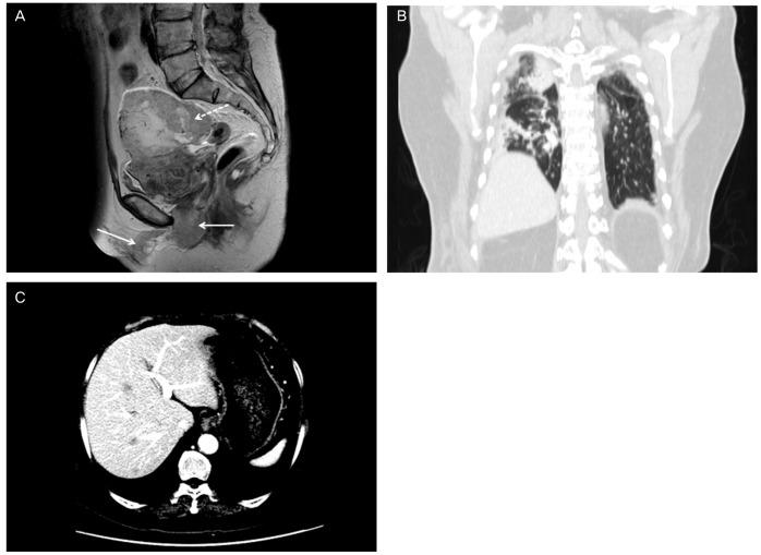
Primary vaginal cancer represents only 1% to 2% of malignant neoplasm of the female genital tract. Here, we report a 68-year-old woman who showed a vaginal tumor extending to urethra and clitoris, a 10 cm-sized mass in left adnexa and multiple metastases in lung and liver. Vaginal biopsy showed squamous cell carcinoma of vagina and she was diagnosed as International Federation of Gynecology and Obstetrics stage IVB vaginal cancer. Palliative surgery including left salpingectomy, tumorectomy, and clitoris mass excision was performed. Concurrent chemoradiation therapy (CCRT) with six cycles of 5-fluorouracil and cisplatin was administered. The patient had a complete remission of 20 months after treatment. At a 40-month follow-up, there was no evidence of local recurrence or distant metastasis. We can suggest that CCRT is very effective in treating primary squamous cell carcinoma of the vagina, not only in locally advanced but also systemically involved vaginal cancer in selected cases.

摘要

原发性阴道癌仅占女性生殖道恶性肿瘤的1%至2%。在此,我们报告一名68岁女性,其阴道肿瘤延伸至尿道和阴蒂,左侧附件有一个10厘米大小的肿块,肺部和肝脏有多处转移。阴道活检显示为阴道鳞状细胞癌,她被诊断为国际妇产科联盟IVB期阴道癌。进行了姑息性手术,包括左侧输卵管切除术、肿瘤切除术和阴蒂肿块切除术。给予了六个周期的5-氟尿嘧啶和顺铂同步放化疗(CCRT)。患者治疗后完全缓解20个月。在40个月的随访中,没有局部复发或远处转移的证据。我们可以认为,CCRT在治疗原发性阴道鳞状细胞癌方面非常有效,不仅对局部晚期阴道癌有效,而且对某些系统受累的阴道癌也有效。

https://cdn.ncbi.nlm.nih.gov/pmc/blobs/c984/3859017/861a5cb863df/ogs-56-416-g001.jpg

文献AI研究员

20分钟写一篇综述,助力文献阅读效率提升50倍。

立即体验

用中文搜PubMed

大模型驱动的PubMed中文搜索引擎

马上搜索

文档翻译

学术文献翻译模型,支持多种主流文档格式。

立即体验