Suppr超能文献

胰十二指肠下后动脉的三维容积再现多排CT成像:其解剖结构及在诊断胰腺外神经周围侵犯中的作用

Three-dimensional volume-rendered multidetector CT imaging of the posterior inferior pancreaticoduodenal artery: its anatomy and role in diagnosing extrapancreatic perineural invasion.

作者信息

Patel Bhavik N, Giacomini Craig, Jeffrey R Brooke, Willmann Juergen K, Olcott Eric

机构信息

Department of Radiology, Duke University Medical Center, Durham, NC, USA.

Stanford University School of Medicine, Stanford, CA, USA.

出版信息

Cancer Imaging. 2013 Dec 30;13(4):580-90. doi: 10.1102/1470-7330.2013.0051.

Abstract

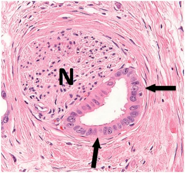
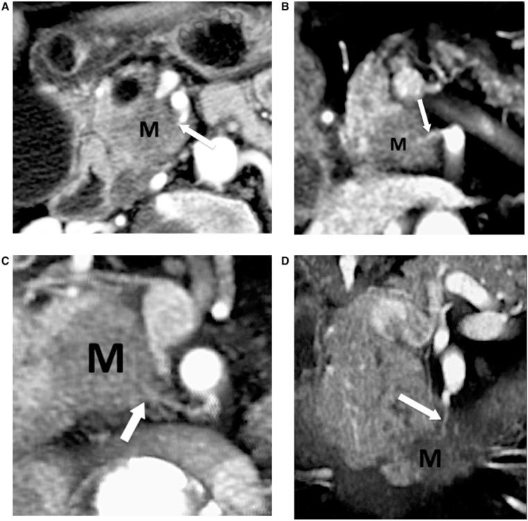
Extrapancreatic perineural spread in pancreatic adenocarcinoma contributes to poor outcomes, as it is known to be a major contributor to positive surgical margins and disease recurrence. However, current staging classifications have not yet taken extrapancreatic perineural spread into account. Four pathways of extrapancreatic perineural spread have been described that conveniently follow small defined arterial pathways. Small field of view three-dimensional (3D) volume-rendered multidetector computed tomography (MDCT) images allow visualization of small peripancreatic vessels and thus perineural invasion that may be associated with them. One such vessel, the posterior inferior pancreaticoduodenal artery (PIPDA), serves as a surrogate for extrapancreatic perineural spread by pancreatic adenocarcinoma arising in the uncinate process. This pictorial review presents the normal and variant anatomy of the PIPDA with 3D volume-rendered MDCT imaging, and emphasizes its role as a vascular landmark for the diagnosis of extrapancreatic perineural invasion from uncinate adenocarcinomas. Familiarity with the anatomy of PIPDA will allow accurate detection of extrapancreatic perineural spread by pancreatic adenocarcinoma involving the uncinate process, and may potentially have important staging implications as neoadjuvant therapy improves.

摘要

胰腺腺癌的胰外神经周围扩散会导致预后不良,因为它是手术切缘阳性和疾病复发的主要原因。然而,目前的分期分类尚未考虑胰外神经周围扩散。已经描述了胰外神经周围扩散的四条途径,这些途径方便地沿着明确的小动脉途径进行。小视野三维(3D)容积再现多排螺旋计算机断层扫描(MDCT)图像能够显示胰周小血管,从而显示可能与之相关的神经周围侵犯。其中一条血管,即胰十二指肠下后动脉(PIPDA),可作为钩突部胰腺腺癌胰外神经周围扩散的替代标志。本图像综述通过3D容积再现MDCT成像展示了PIPDA的正常和变异解剖结构,并强调了其作为诊断钩突腺癌胰外神经周围侵犯的血管标志的作用。熟悉PIPDA的解剖结构将有助于准确检测累及钩突部的胰腺腺癌的胰外神经周围扩散,并且随着新辅助治疗的改进,可能对分期有重要意义。

https://cdn.ncbi.nlm.nih.gov/pmc/blobs/7c1e/3893903/91161cccf750/ci13005101.jpg

文献AI研究员

20分钟写一篇综述,助力文献阅读效率提升50倍。

立即体验

用中文搜PubMed

大模型驱动的PubMed中文搜索引擎

马上搜索

文档翻译

学术文献翻译模型,支持多种主流文档格式。

立即体验