Suppr超能文献

编码脂肪酸结合蛋白和谷胱甘肽S-转移酶的膜锚定和分泌型DNA疫苗对日本血吸虫的保护作用

Protective effects of membrane-anchored and secreted DNA vaccines encoding fatty acid-binding protein and glutathione S-transferase against Schistosoma japonicum.

作者信息

Tu Yaqin, Hu Yang, Fan Guorun, Chen Zhihao, Liu Lin, Man Dandan, Liu Shuojie, Tang Chengwu, Zhang Yin, Dai Wuxing

机构信息

Department of Biochemistry and Molecular Biology, Tongji Medical College, Huazhong University of Science and Technology, Wuhan, Hubei, China.

Department of Otorhinolaryngology, Union Hospital of Tongji Medical College, Huazhong Science and Technology University, Wuhan, Hubei, China.

出版信息

PLoS One. 2014 Jan 23;9(1):e86575. doi: 10.1371/journal.pone.0086575. eCollection 2014.

Abstract

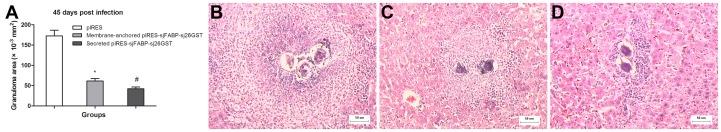
In order to explore the high performance bivalent DNA-based vaccine against schistosomes, SjFABP and Sj26GST were selected and used to construct a vaccine. Two strategies were used to construct the bivalent DNA vaccine. In the first strategy, a plasmid encoding antigen in the secreted form was used, while in the other, a plasmid encoding a truncated form of SjFABP and Sj26GST targeted to the cell surface was used. Various parameters, including antibody and cytokine response, proliferation, histopathological examination, and characterization of T cell subsets were used to evaluate the type of immune response and the level of protection against challenge infection. Injection with secreted pIRES-sjFABP-sj26GST significantly increased the levels of antibody, splenocyte proliferation, and production of IFN-γ, compared with membrane-anchored groups. Analysis of splenic T cell subsets showed that the secreted vaccine significantly increased the percentage of CD3(+)CD4(+) and CD3(+)CD8(+) T cells. Liver immunopathology (size of liver granulomas) was significantly reduced in the secreted group compared with the membrane-anchored groups. Moreover, challenge experiments showed that the worm and egg burdens were significantly reduced in animals immunized with recombinant vaccines. Most importantly, secreted Sj26GST-SjFABP markedly enhanced protection, by reducing worm and egg burdens by 31.8% and 24.78%, respectively, while the membrane-anchored group decreased worm and egg burdens by 24.80% and 18.80%, respectively. Taken together, these findings suggest that the secretory vaccine is more promising than the membrane-anchored vaccine, and provides support for the development and application of this vaccine.

摘要

为了探索针对血吸虫的高效二价DNA疫苗,选择了日本血吸虫脂肪酸结合蛋白(SjFABP)和日本血吸虫26kDa谷胱甘肽S-转移酶(Sj26GST)来构建疫苗。采用两种策略构建二价DNA疫苗。在第一种策略中,使用编码分泌形式抗原的质粒,而在另一种策略中,使用编码靶向细胞表面的截短形式的SjFABP和Sj26GST的质粒。利用包括抗体和细胞因子反应、增殖、组织病理学检查以及T细胞亚群特征分析等各种参数来评估免疫反应类型和针对攻击感染的保护水平。与膜锚定组相比,注射分泌型pIRES-sjFABP-sj26GST显著提高了抗体水平、脾细胞增殖以及γ干扰素(IFN-γ)的产生。脾T细胞亚群分析表明,分泌型疫苗显著增加了CD3(+)CD4(+)和CD3(+)CD8(+) T细胞的百分比。与膜锚定组相比,分泌型组的肝脏免疫病理学(肝肉芽肿大小)显著降低。此外,攻击实验表明,用重组疫苗免疫的动物体内虫体和虫卵负荷显著降低。最重要的是,分泌型Sj26GST-SjFABP分别将虫体和虫卵负荷降低了31.8%和24.78%,从而显著增强了保护作用,而膜锚定组分别将虫体和虫卵负荷降低了24.80%和18.80%。综上所述,这些发现表明分泌型疫苗比膜锚定疫苗更具前景,并为该疫苗的开发和应用提供了支持。

https://cdn.ncbi.nlm.nih.gov/pmc/blobs/6c97/3900569/ba288f96a05a/pone.0086575.g001.jpg

文献AI研究员

20分钟写一篇综述,助力文献阅读效率提升50倍。

立即体验

用中文搜PubMed

大模型驱动的PubMed中文搜索引擎

马上搜索

文档翻译

学术文献翻译模型,支持多种主流文档格式。

立即体验