Suppr超能文献

梅克尔-格鲁伯综合征:两例报告并文献复习

Meckel gruber syndrome: report of two cases with review of literature.

作者信息

Myageri Aneel, Grampurohit Vandana, Rao Ravikala

机构信息

Department of Pathology, SDM College of Medical Sciences and Hospital, Sattur, Dharwad, Karnataka, India.

出版信息

J Family Med Prim Care. 2013 Jan;2(1):106-8. doi: 10.4103/2249-4863.109971.

Abstract

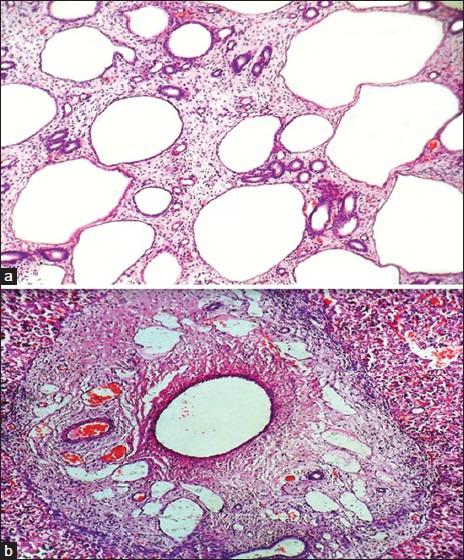
Meckel Gruber syndrome (MKS) is a lethal, autosomal, recessive, multisystemic disorder, associated with mutations affecting ciliogenesis. Since the time it was first reported; only 200 cases have been reported. From January 2004 to December 2010, we evaluated 268 fetal autopsies in our institute, in the Department of Pathology; two of these fetuses were diagnosed as MKS. MKS is characterized by occipital meningoencephalocele, cystic kidneys, postaxial polydactyly, and fibrosis in the liver. MKS cases show genetic heterogeneity. MKS results in 100% fetal or neonatal mortality. As MKS has a high risk (25%) of recurrence; parents should be counseled for future pregnancies.

摘要

梅克尔-格鲁伯综合征(MKS)是一种致死性常染色体隐性多系统疾病,与影响纤毛发生的突变有关。自首次报道以来,仅报告了200例病例。2004年1月至2010年12月,我们在我院病理科对268例胎儿尸体解剖进行了评估,其中有2例胎儿被诊断为MKS。MKS的特征为枕部脑膨出、多囊肾、轴后多指畸形和肝脏纤维化。MKS病例表现出遗传异质性。MKS导致100%的胎儿或新生儿死亡。由于MKS有较高的复发风险(25%),因此应对父母进行关于未来妊娠的咨询。

https://cdn.ncbi.nlm.nih.gov/pmc/blobs/2152/3894002/588527970473/JFMPC-2-106-g001.jpg

文献AI研究员

20分钟写一篇综述,助力文献阅读效率提升50倍。

立即体验

用中文搜PubMed

大模型驱动的PubMed中文搜索引擎

马上搜索

文档翻译

学术文献翻译模型,支持多种主流文档格式。

立即体验