Laboratory of Influenza Research, College of Veterinary Medicine, Chungnam National University, Daejeon, Korea ; Division of Preventive Medicine, Institute for Influenza Virus, Chungnam National University, Daejeon, Korea.
J Ginseng Res. 2014 Jan;38(1):40-6. doi: 10.1016/j.jgr.2013.11.012. Epub 2013 Dec 8.
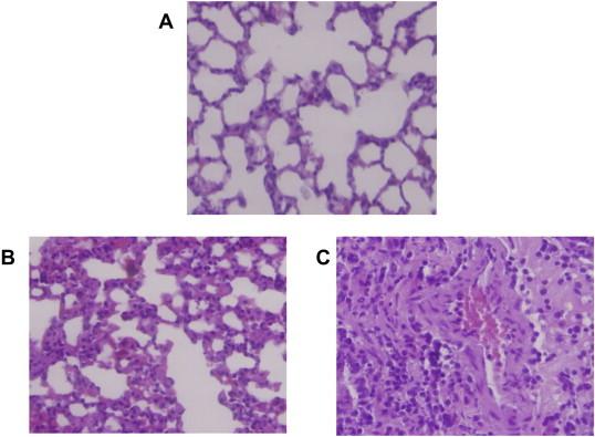
The highly pathogenic (HP) H5N1 influenza virus is endemic in many countries and has a great potential for a pandemic in humans. The immune-enhancing prowess of ginseng has been known for millennia. We aimed to study whether mice and ferrets fed with Red Ginseng could be better protected from the lethal infections of HP H5N1 influenza virus than the infected unfed mice and ferrets. We fed mice and ferrets with Red Ginseng prior to when they were infected with HP H5N1 influenza virus. The mice and ferrets fed with a 60-day diet containing Red Ginseng could be protected from lethal infections by HP H5N1 influenza virus (survival rate of up to 45% and 40%, respectively). Interferon-α and -γ antiviral cytokines were significantly induced in the lungs of mice fed Red Ginseng, compared to mice fed an unsupplemented diet. These data suggest that the diet with the immune-enhancing Red Ginseng could help humans to overcome the infections by HP H5N1 influenza virus.
高致病性(HP)H5N1 流感病毒在许多国家流行,对人类具有很大的大流行潜力。人参的免疫增强作用已经存在了数千年。我们旨在研究喂食红参的小鼠和雪貂是否比感染后未喂食的小鼠和雪貂更能免受高致病性 H5N1 流感病毒的致命感染。我们在感染高致病性 H5N1 流感病毒之前给小鼠和雪貂喂食红参。用含有红参的 60 天饮食喂养的小鼠和雪貂可以免受高致病性 H5N1 流感病毒的致命感染(存活率分别高达 45%和 40%)。与未补充饮食的小鼠相比,喂食红参的小鼠的肺部干扰素-α和-γ抗病毒细胞因子明显增加。这些数据表明,具有免疫增强作用的红参饮食可能有助于人类克服高致病性 H5N1 流感病毒的感染。