Jagtap Sunil V, Nikumbh Dhiraj B, Kshirsagar Ashok Y, Ahuja Neha
Department of pathology;
Department of Surgery, Krishna Institute of Medical Sciences, (KIMS) University and Krishna Hospital Karad, Maharashtra, India.
Clin Pract. 2012 Feb 13;2(1):e24. doi: 10.4081/cp.2012.e24. eCollection 2012 Jan 1.
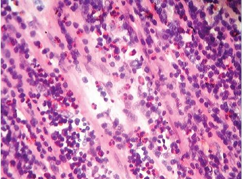
Eosinophilic enteritis is a rare disease of unknown etiology. It is characterized by eosinophilic infiltration of the bowel wall to a variable depth and symptoms associated with gastrointestinal tract depending upon the predominant layer involved. Diagnosis of eosinophilic enteritis requires a high index of suspicion and exclusion of various disorders that are associated with peripheral eosinophilia. We report a case of unusual presentation of eosinophilic enteritis clinically presenting as intestinal obstruction due to multiple strictures of the small bowel in an adult male.
嗜酸性粒细胞性肠炎是一种病因不明的罕见疾病。其特征是肠壁嗜酸性粒细胞浸润深度不一,并根据受累的主要肠壁层次出现与胃肠道相关的症状。嗜酸性粒细胞性肠炎的诊断需要高度的怀疑指数,并排除各种与外周嗜酸性粒细胞增多相关的疾病。我们报告一例成年男性嗜酸性粒细胞性肠炎的不寻常表现,临床上表现为因小肠多处狭窄导致的肠梗阻。