Suppr超能文献

直接恢复内皮细胞连接可使小鼠肿瘤血管显著正常化并抑制转移。

Direct endothelial junction restoration results in significant tumor vascular normalization and metastasis inhibition in mice.

作者信息

Agrawal Vijayendra, Maharjan Sony, Kim Kyeojin, Kim Nam-Jung, Son Jimin, Lee Keunho, Choi Hyun-Jung, Rho Seung-Sik, Ahn Sunjoo, Won Moo-Ho, Ha Sang-Jun, Koh Gou Young, Kim Young-Myeong, Suh Young-Ger, Kwon Young-Guen

机构信息

Department of Biochemistry, College of Life Science and Biotechnology, Yonsei University, Seoul 120-749, Republic of Korea.

出版信息

Oncotarget. 2014 May 15;5(9):2761-77. doi: 10.18632/oncotarget.1942.

Abstract

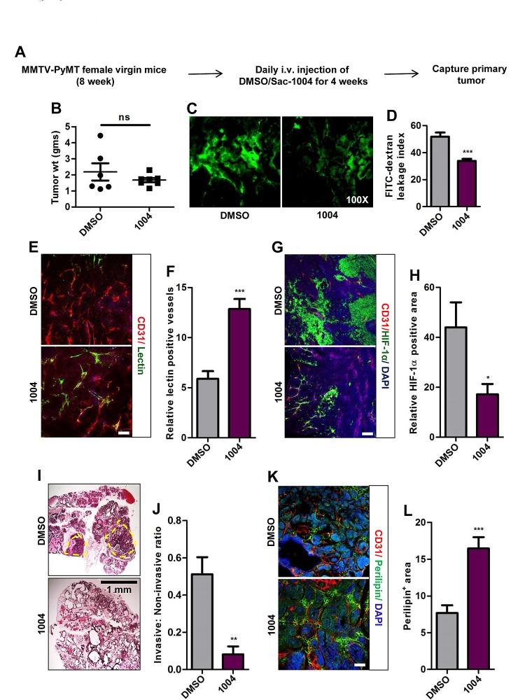
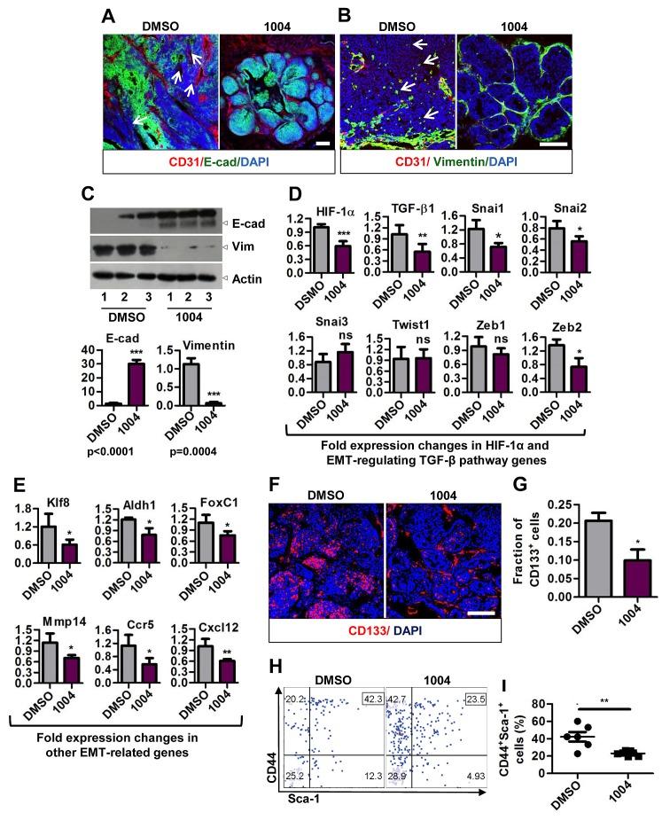
Tumor blood vessels are leaky and immature, which causes inadequate blood supply to tumor tissues resulting in hypoxic microenvironment and promotes metastasis. Here we have explored tumor vessel modulating activity of Sac-1004, a recently developed molecule in our lab, which directly potentiates VE-cadherin-mediated endothelial cell junction. Sac-1004 could enhance vascular junction integrity in tumor vessels and thereby inhibit vascular leakage and enhance vascular perfusion. Improved perfusion enabled Sac-1004 to have synergistic anti-tumor effect on cisplatin-mediated apoptosis of tumor cells. Interestingly, characteristics of normalized blood vessels namely reduced hypoxia, improved pericyte coverage and decreased basement membrane thickness were readily observed in tumors treated with Sac-1004. Remarkably, Sac-1004 was also able to inhibit lung and lymph node metastasis in MMTV and B16BL6 tumor models. This was in correlation with a reduction in epithelial-to-mesenchymal transition of tumor cells with considerable diminution in expression of related transcription factors. Moreover, cancer stem cell population dropped substantially in Sac-1004 treated tumor tissues. Taken together, our results showed that direct restoration of vascular junction could be a significant strategy to induce normalization of tumor blood vessels and reduce metastasis.

摘要

肿瘤血管渗漏且不成熟,这导致肿瘤组织血液供应不足,进而造成缺氧微环境,并促进转移。在此,我们研究了Sac-1004(我们实验室最近研发的一种分子)对肿瘤血管的调节活性,它可直接增强血管内皮钙黏蛋白介导的内皮细胞连接。Sac-1004能够增强肿瘤血管中的血管连接完整性,从而抑制血管渗漏并增强血管灌注。灌注改善使Sac-1004对顺铂介导的肿瘤细胞凋亡产生协同抗肿瘤作用。有趣的是,在用Sac-1004治疗的肿瘤中很容易观察到正常化血管的特征,即缺氧减轻、周细胞覆盖改善和基底膜厚度减小。值得注意的是,Sac-1004还能够在MMTV和B16BL6肿瘤模型中抑制肺和淋巴结转移。这与肿瘤细胞上皮-间质转化的减少以及相关转录因子表达的显著降低相关。此外,在经Sac-1004处理的肿瘤组织中,癌症干细胞群体大幅减少。综上所述,我们的结果表明,直接恢复血管连接可能是诱导肿瘤血管正常化并减少转移的一项重要策略。

https://cdn.ncbi.nlm.nih.gov/pmc/blobs/1f44/4058043/94e009a91cec/oncotarget-05-2761-g001.jpg

文献AI研究员

20分钟写一篇综述,助力文献阅读效率提升50倍。

立即体验

用中文搜PubMed

大模型驱动的PubMed中文搜索引擎

马上搜索

文档翻译

学术文献翻译模型,支持多种主流文档格式。

立即体验