Suppr超能文献

经颈静脉肝内门体分流术(TIPS)位置不当导致的布加综合征:一例报告

Budd-Chiari Syndrome Caused by TIPS Malposition: A Case Report.

作者信息

Katkar A S, Kuo Anderson H, Calle S, Gangadhar K, Chintapalli K

机构信息

Department of Radiology, University of Texas Health Science Center at San Antonio, 7703 Floyd Curl Drive, San Antonio, TX 78229-3900, USA.

Department of Radiology, Hospital Universitario San Ignacio, Kra 7, No. 40-62, Bogotá, Colombia.

出版信息

Case Rep Med. 2014;2014:267913. doi: 10.1155/2014/267913. Epub 2014 Apr 13.

Abstract

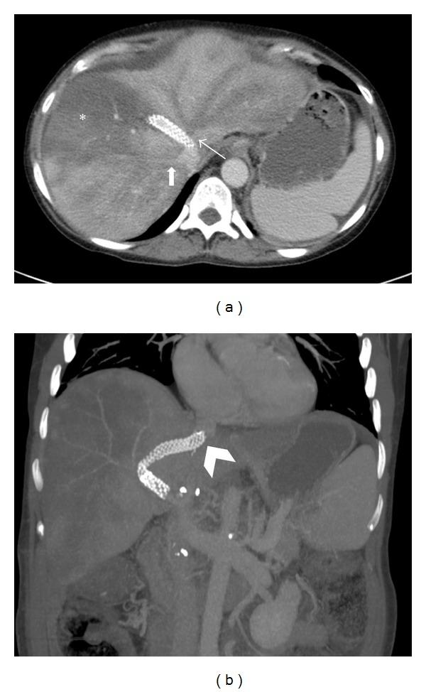
Budd-Chiari syndrome refers to hepatic pathology secondary to diminished venous outflow, most commonly associated with venothrombotic disease. Clinically, patients with Budd-Chiari present with hepatomegaly, ascites, abdominal distension, and pain. On imaging, Budd-Chiari syndrome is hallmarked by occluded IVC and or hepatic veins, caudate lobe enlargement, heterogeneous liver enhancement, intrahepatic collaterals, and hypervascular nodules. Etiopathological factors for Budd-Chiari syndrome include several systemic thrombotic and nonthrombotic conditions that can cause venous outflow obstruction at hepatic veins and/or IVC. While the transjugular intrahepatic portosystemic shunt (TIPS) is used as a treatment option for Budd-Chiari syndrome, Budd-Chiari syndrome is not a well-known complication of TIPS procedure. We report a case of Budd-Chiari syndrome that occurred in a transplanted cirrhotic liver from malpositioned proximal portion of the TIPS in IVC causing occlusion of the ostia of hepatic veins which was subsequently diagnosed on contrast-enhanced CT.

摘要

布加综合征是指继发于静脉流出减少的肝脏病变,最常见于静脉血栓形成性疾病。临床上,布加综合征患者表现为肝肿大、腹水、腹胀和疼痛。在影像学上,布加综合征的特征是下腔静脉和/或肝静脉闭塞、尾状叶增大、肝脏强化不均匀、肝内 collateral 形成和高血管结节。布加综合征的病因病理因素包括几种全身性血栓形成和非血栓形成情况,这些情况可导致肝静脉和/或下腔静脉的静脉流出受阻。虽然经颈静脉肝内门体分流术(TIPS)被用作布加综合征的一种治疗选择,但布加综合征并非 TIPS 手术的常见并发症。我们报告一例布加综合征病例,该病例发生在移植的肝硬化肝脏中,原因是 TIPS 在 IVC 的近端位置不当,导致肝静脉开口闭塞,随后通过增强 CT 确诊。

https://cdn.ncbi.nlm.nih.gov/pmc/blobs/25d8/4005056/1a6aee7372e6/CRIM2014-267913.001.jpg

文献AI研究员

20分钟写一篇综述,助力文献阅读效率提升50倍。

立即体验

用中文搜PubMed

大模型驱动的PubMed中文搜索引擎

马上搜索

文档翻译

学术文献翻译模型,支持多种主流文档格式。

立即体验