Suppr超能文献

音乐家和非音乐家执行功能的行为与神经关联

Behavioral and neural correlates of executive functioning in musicians and non-musicians.

作者信息

Zuk Jennifer, Benjamin Christopher, Kenyon Arnold, Gaab Nadine

机构信息

Laboratories of Cognitive Neuroscience, Division of Developmental Medicine, Department of Developmental Medicine, Boston Children's Hospital, Boston, Massachusetts, United States of America; Harvard Medical School, Boston, Massachusetts, United States of America.

Laboratories of Cognitive Neuroscience, Division of Developmental Medicine, Department of Developmental Medicine, Boston Children's Hospital, Boston, Massachusetts, United States of America; Harvard Medical School, Boston, Massachusetts, United States of America; University of California Los Angeles, Semel Institute, Los Angeles, California, United States of America.

出版信息

PLoS One. 2014 Jun 17;9(6):e99868. doi: 10.1371/journal.pone.0099868. eCollection 2014.

Abstract

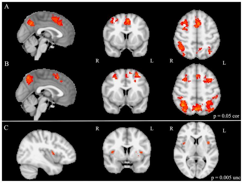
Executive functions (EF) are cognitive capacities that allow for planned, controlled behavior and strongly correlate with academic abilities. Several extracurricular activities have been shown to improve EF, however, the relationship between musical training and EF remains unclear due to methodological limitations in previous studies. To explore this further, two experiments were performed; one with 30 adults with and without musical training and one with 27 musically trained and untrained children (matched for general cognitive abilities and socioeconomic variables) with a standardized EF battery. Furthermore, the neural correlates of EF skills in musically trained and untrained children were investigated using fMRI. Adult musicians compared to non-musicians showed enhanced performance on measures of cognitive flexibility, working memory, and verbal fluency. Musically trained children showed enhanced performance on measures of verbal fluency and processing speed, and significantly greater activation in pre-SMA/SMA and right VLPFC during rule representation and task-switching compared to musically untrained children. Overall, musicians show enhanced performance on several constructs of EF, and musically trained children further show heightened brain activation in traditional EF regions during task-switching. These results support the working hypothesis that musical training may promote the development and maintenance of certain EF skills, which could mediate the previously reported links between musical training and enhanced cognitive skills and academic achievement.

摘要

执行功能(EF)是一种认知能力,它能促成有计划、可控制的行为,并且与学业能力密切相关。已有研究表明,多种课外活动可改善执行功能,然而,由于先前研究存在方法学上的局限性,音乐训练与执行功能之间的关系仍不明确。为进一步探究这一关系,我们进行了两项实验:一项实验的对象是30名有或没有音乐训练经历的成年人,另一项实验的对象是27名接受过和未接受过音乐训练的儿童(在一般认知能力和社会经济变量方面进行了匹配),并使用标准化的执行功能测试组对他们进行测试。此外,我们还利用功能磁共振成像(fMRI)研究了接受过和未接受过音乐训练的儿童在执行功能技能方面的神经关联。与非音乐家相比,成年音乐家在认知灵活性、工作记忆和言语流畅性方面的表现更优。接受过音乐训练的儿童在言语流畅性和处理速度方面表现更优,并且与未接受过音乐训练的儿童相比,在规则表征和任务切换过程中,其前辅助运动区/辅助运动区(pre-SMA/SMA)和右侧腹外侧前额叶皮层(right VLPFC)的激活程度明显更高。总体而言,音乐家在执行功能的多个方面表现更优,接受过音乐训练的儿童在任务切换过程中,其传统执行功能区域的大脑激活程度也更高。这些结果支持了以下工作假设:音乐训练可能促进某些执行功能技能的发展和维持,这可能介导了先前报道的音乐训练与认知技能提升及学业成绩之间的联系。

https://cdn.ncbi.nlm.nih.gov/pmc/blobs/4458/4061064/28667e58c86a/pone.0099868.g001.jpg

文献AI研究员

20分钟写一篇综述,助力文献阅读效率提升50倍。

立即体验

用中文搜PubMed

大模型驱动的PubMed中文搜索引擎

马上搜索

文档翻译

学术文献翻译模型,支持多种主流文档格式。

立即体验