Sun Lijun, Zhu Yan, Wang Hong
Department of Neurosurgery, Tianjin Cerebral Vascular and Neural Degenerative Diseases Key Laboratory, Tianjin Huanhu Hospital, 122 Qixiangtai Street, 300060 Tianjin, China.
World J Surg Oncol. 2014 Jul 16;12:216. doi: 10.1186/1477-7819-12-216.
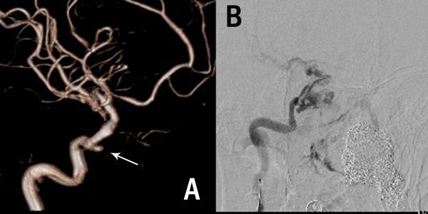
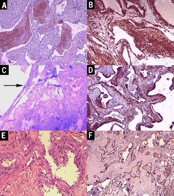
Three cases of intracranial angioleiomyoma (ALM) in our neurosurgery center are reported in detail. ALM is a benign soft tissue tumor comprised of mature smooth muscle cells and a prominent vascular component, which is extremely rare as a primary intracranial lesion. Altogether, only 12 cases were recorded in the literature to date, to the best of our knowledge. Case 1 is the second report of intra-sella ALM, a 51-year-old woman presented with visual deterioration for 2 months. An MRI showed an intra-sella 3-cm tumor, partially flame-like, enhanced with gadolinium. Using microscopic endonasal transsphenoidal approach, the tumor was completely resected with great difficulty. At 11 days post-surgery, she died of a sudden catastrophic nasal hemorrhage. An angiography revealed a pseudo-aneurysm of ICA (internal carotid artery). Case 2 is a 49-year-old man who presented with weakness of the lower limbs for 1 year. A large subtentorial mass was found affixed to the torcular and straight sinus, which was partially flame-like, dramatically enhanced as in case 1. Case 3 is that of a 77-year-old man. An ALM mass was revealed in the diploe of left temporal bone, and had eroded the inner table. Immunohistochemical workup confirmed the diagnosis of angioleiomyoma in all 3 cases. The radiology, operation, and complication of surgery in each case were discussed. In conclusion, intracranial ALMs are extremely rare, usually located ex-neuro axis (such as in our cases), in the sella, in posterior fossa, or in the skull. Magnetic resonance imaging (MRI) revealed a special feature of flame-like partial enhancement that may be helpful to distinguish ALM from pituitary tumors or meningiomas, and should result in the consideration of this rare tumor entity early on in the diagnostic process. A definitive diagnosis depends on histological analyses. The resection of ALM in certain locations is difficult and risky because of the rich blood supply.
详细报道了我们神经外科中心的3例颅内血管平滑肌瘤(ALM)。ALM是一种由成熟平滑肌细胞和显著血管成分组成的良性软组织肿瘤,作为原发性颅内病变极为罕见。据我们所知,迄今为止文献中总共仅记录了12例。病例1是鞍内ALM的第二例报道,一名51岁女性,出现视力减退2个月。磁共振成像(MRI)显示鞍内有一个3厘米的肿瘤,部分呈火焰状,钆增强。采用显微镜下经鼻蝶窦入路,肿瘤切除困难,最终完全切除。术后11天,患者死于突发性灾难性鼻出血。血管造影显示颈内动脉假性动脉瘤。病例2是一名49岁男性,下肢无力1年。发现一个大的幕下肿块附着于窦汇和直窦,部分呈火焰状,与病例1一样显著增强。病例3是一名77岁男性。左侧颞骨板障内发现一个ALM肿块,已侵蚀内板。免疫组织化学检查确诊了所有3例血管平滑肌瘤。讨论了每个病例的放射学表现、手术过程及手术并发症。总之,颅内ALM极为罕见,通常位于神经轴外(如我们的病例)、鞍内、后颅窝或颅骨内。磁共振成像(MRI)显示出火焰状部分强化的特殊特征,这可能有助于将ALM与垂体瘤或脑膜瘤区分开来,并且在诊断过程中应尽早考虑到这种罕见的肿瘤实体。明确诊断取决于组织学分析。由于血供丰富,在某些部位切除ALM困难且有风险。