Suppr超能文献

一名完全性雄激素不敏感综合征患者合并双侧支持-间质细胞瘤的双侧腹腔镜性腺切除术:病例报告及文献简要综述

Bilateral laparoscopic gonadectomy in a patient with complete androgen insensitivity syndrome and bilateral sertoli-leydig cell tumor: a case report and brief review of the literature.

作者信息

Asl Zare Mohammad, Kalantari Mahmood Reza, Asadpour Amir Abbas, Kamalati Ali

机构信息

Department of Urology, Faculty of Medicine, Mashhad University of Medical Sciences, Mashhad, IR Iran.

Department of Pathology, Faculty of Medicine, Mashhad University of Medical Sciences, Mashhad, IR Iran.

出版信息

Nephrourol Mon. 2014 Apr 21;6(3):e15278. doi: 10.5812/numonthly.15278. eCollection 2014 May.

Abstract

INTRODUCTION

Complete androgen insensitivity syndrome (previously called testicular feminization) is specified by a 46 XY karyotype and negative sex chromatin, bilateral undescended testes, female genitalia appearance, and lack of mullerian derivatives.

CASE PRESENTATION

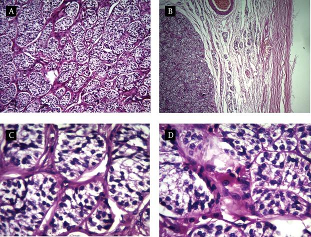
A 28-year-old woman with complete (severe) androgen resistance underwent prophylactic laparoscopic bilateral gonadectomy because of the eventually increased risk of gonadal malignancy. Although the gonads appeared grossly normal, microscopic examination revealed bilateral well differentiated sertoli-leydig cell tumor (SLCT).

DISCUSSION

Our Medline search revealed that this is the first reported case of bilateral sertoli-leydig cell tumor (SLCT) in androgen insensitivity syndrome.

摘要

引言

完全性雄激素不敏感综合征(以前称为睾丸女性化)的特征为46 XY核型、性染色质阴性、双侧隐睾、女性生殖器外观以及缺乏苗勒氏衍生物。

病例报告

一名28岁患有完全性(重度)雄激素抵抗的女性,因性腺恶性肿瘤最终风险增加而接受了预防性腹腔镜双侧性腺切除术。尽管性腺大体外观正常,但显微镜检查显示为双侧高分化支持-间质细胞瘤(SLCT)。

讨论

我们对医学文献数据库(Medline)的检索显示,这是雄激素不敏感综合征中双侧支持-间质细胞瘤(SLCT)的首例报道病例。

https://cdn.ncbi.nlm.nih.gov/pmc/blobs/91b1/4090667/8dff5196f88f/num-06-03-15278-g001.jpg

文献AI研究员

20分钟写一篇综述,助力文献阅读效率提升50倍。

立即体验

用中文搜PubMed

大模型驱动的PubMed中文搜索引擎

马上搜索

文档翻译

学术文献翻译模型,支持多种主流文档格式。

立即体验