Machado Raissa Micaella Marcello, Pinto Luciana de Rezende, Chagas Júnior Otacílio Luiz, Faot Fernanda
Graduate Program in Dentistry, Prosthodontics Area, School of Dentistry, Federal University of Pelotas (UFPEL), Gonçalves Chaves Street 457, 96015-560 Pelotas, RS, Brazil.
Department of Restorative Dentistry-Prosthodontics Area, School of Dentistry, Federal University of Pelotas-UFPEL, Gonçalves Chaves Street 457, 96015-560 Pelotas, RS, Brazil.
Case Rep Dent. 2014;2014:192974. doi: 10.1155/2014/192974. Epub 2014 Aug 5.
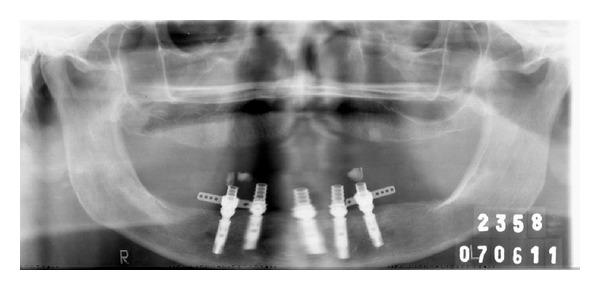
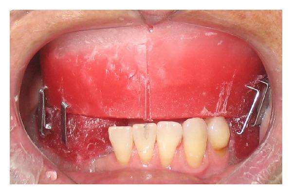
In mandibular edentulous patients, treatment based on immediate loading with rigid splinting in the mandible is well accepted; however, it is cost and time dependent, which sometimes limits this type of rehabilitation. To overcome these problems, the technique of immediate loading using a semirigid splinting extension system has been developed. Its advantages include low cost, technical feasibility, and reduced clinic time. This clinical report presents the applicability and the predictability of semirigid splinting of implants in the mandibular arch of an edentulous patient using a distal extension bar prosthesis system.
在下颌无牙患者中,基于下颌即刻负重并采用刚性夹板固定的治疗方法已被广泛接受;然而,这种方法成本较高且耗时,有时会限制此类修复方式的应用。为克服这些问题,已开发出使用半刚性夹板延伸系统进行即刻负重的技术。其优点包括成本低、技术可行性高以及临床时间缩短。本临床报告介绍了在一名无牙患者的下颌弓中使用远端延伸杆假体系统对种植体进行半刚性夹板固定的适用性和可预测性。