Acta Neuropathol Commun. 2014 Sep 18;2:139. doi: 10.1186/s40478-014-0139-1.
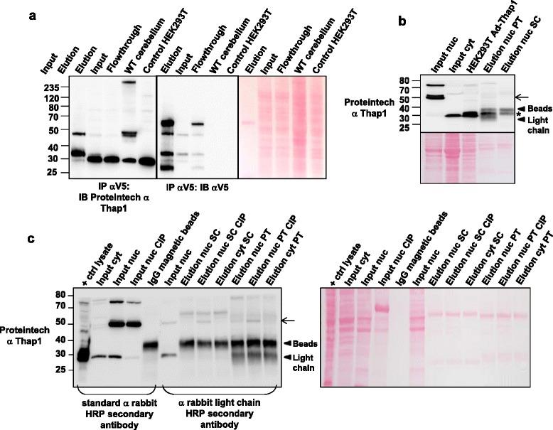
Mutations in THAP1 result in dystonia type 6, with partial penetrance and variable phenotype. The goal of this study was to examine the nature and expression pattern of the protein product(s) of the Thap1 transcription factor (DYT6 gene) in mouse neurons, and to study the regional and developmental distribution, and subcellular localization of Thap1 protein. The goal was accomplished via overexpression and knock-down of Thap1 in the HEK293T cell line and in mouse striatal primary cultures and western blotting of embryonic Thap1-null tissue. The endogenous and transduced Thap1 isoforms were characterized using three different commercially available anti-Thap1 antibodies and validated by immunoprecipitation and DNA oligonucleotide affinity chromatography. We identified multiple, novel Thap1 species of apparent Mr 32 kDa, 47 kDa, and 50-52 kDa in vitro and in vivo, and verified the previously identified species at 29-30 kDa in neurons. The Thap1 species at the 50 kDa size range was exclusively detected in murine brain and testes and were located in the nuclear compartment. Thus, in addition to the predicted 25 kDa apparent Mr, we identified Thap1 species with greater apparent Mr that we speculate may be a result of posttranslational modifications. The neural localization of the 50 kDa species and its nuclear compartmentalization suggests that these may be key Thap1 species controlling neuronal gene transcription. Dysfunction of the neuronal 50 kDa species may therefore be implicated in the pathogenesis of DYT6.
THAP1 基因突变导致 6 型肌张力障碍,表现为部分外显率和可变表型。本研究的目的是研究 Thap1 转录因子(DYT6 基因)在小鼠神经元中的蛋白质产物的性质和表达模式,并研究 Thap1 蛋白的区域和发育分布以及亚细胞定位。通过在 HEK293T 细胞系和小鼠纹状体原代培养物中转染 Thap1 过表达和敲低,以及对胚胎 Thap1 缺失组织进行 Western blot 分析,实现了这一目标。使用三种不同的市售抗 Thap1 抗体对内源性和转导的 Thap1 同工型进行了特征分析,并通过免疫沉淀和 DNA 寡核苷酸亲和层析进行了验证。我们在体外和体内鉴定了多种新型 Thap1 同种型,表观 Mr 为 32 kDa、47 kDa 和 50-52 kDa,并验证了神经元中先前鉴定的 29-30 kDa 同种型。在小鼠大脑和睾丸中特异性检测到 50 kDa 大小范围内的 Thap1 同种型,位于核区室中。因此,除了预测的 25 kDa 表观 Mr 之外,我们还鉴定了具有更大表观 Mr 的 Thap1 同种型,我们推测这些同种型可能是翻译后修饰的结果。50 kDa 同种型的神经定位及其核区室化表明,这些可能是控制神经元基因转录的关键 Thap1 同种型。因此,神经元 50 kDa 同种型的功能障碍可能与 DYT6 的发病机制有关。