Jathoul Amit P, Grounds Helen, Anderson James C, Pule Martin A
Department of Haematology, UCL Cancer Institute and NIHR University College London Hospitals Biomedical Research Centre, London, WC1E 6BT (UK).
Angew Chem Int Ed Engl. 2014 Nov 24;53(48):13059-63. doi: 10.1002/anie.201405955. Epub 2014 Sep 29.
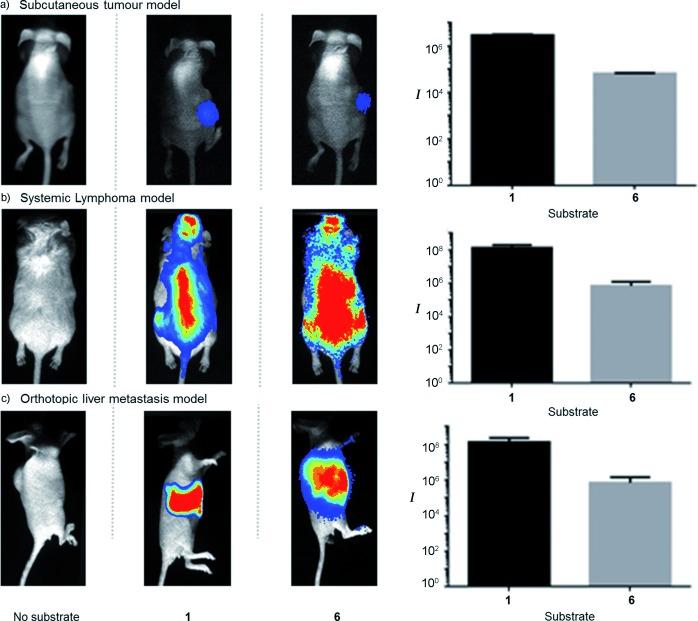
Red-shifted bioluminescent emitters allow improved in vivo tissue penetration and signal quantification, and have led to the development of beetle luciferin analogues that elicit red-shifted bioluminescence with firefly luciferase (Fluc). However, unlike natural luciferin, none have been shown to emit different colors with different luciferases. We have synthesized and tested the first dual-color, far-red to near-infrared (nIR) emitting analogue of beetle luciferin, which, akin to natural luciferin, exhibits pH dependent fluorescence spectra and emits bioluminescence of different colors with different engineered Fluc enzymes. Our analogue produces different far-red to nIR emission maxima up to λ(max)=706 nm with different Fluc mutants. This emission is the most red-shifted bioluminescence reported without using a resonance energy transfer acceptor. This improvement should allow tissues to be more effectively probed using multiparametric deep-tissue bioluminescence imaging.
红移生物发光发射体可改善体内组织穿透和信号定量,并推动了甲虫荧光素类似物的开发,这些类似物能与萤火虫荧光素酶(Fluc)产生红移生物发光。然而,与天然荧光素不同的是,尚无一种被证明能与不同的荧光素酶发出不同颜色的光。我们合成并测试了首个甲虫荧光素的双色、远红到近红外(nIR)发射类似物,它与天然荧光素类似,呈现出pH依赖的荧光光谱,并能与不同的工程化Fluc酶发出不同颜色的生物发光。我们的类似物与不同的Fluc突变体产生不同的远红到nIR发射最大值,最高可达λ(max)=706 nm。这种发射是在不使用共振能量转移受体的情况下报道的最红移的生物发光。这一改进应能使多参数深层组织生物发光成像更有效地探测组织。