Yu Xin, Blanden Adam R, Narayanan Sumana, Jayakumar Lalithapriya, Lubin David, Augeri David, Kimball S David, Loh Stewart N, Carpizo Darren R
Rutgers Cancer Institute of New Jersey, New Jersey. Department of Surgery, Rutgers Robert Wood Johnson Medical School, New Brunswick, New Jersey. These authors contributed equally to this work.
Department of Biochemistry and Molecular Biology, SUNY Upstate Medical University, Syracuse, New York. These authors contributed equally to this work.
Oncotarget. 2014 Oct 15;5(19):8879-92. doi: 10.18632/oncotarget.2432.
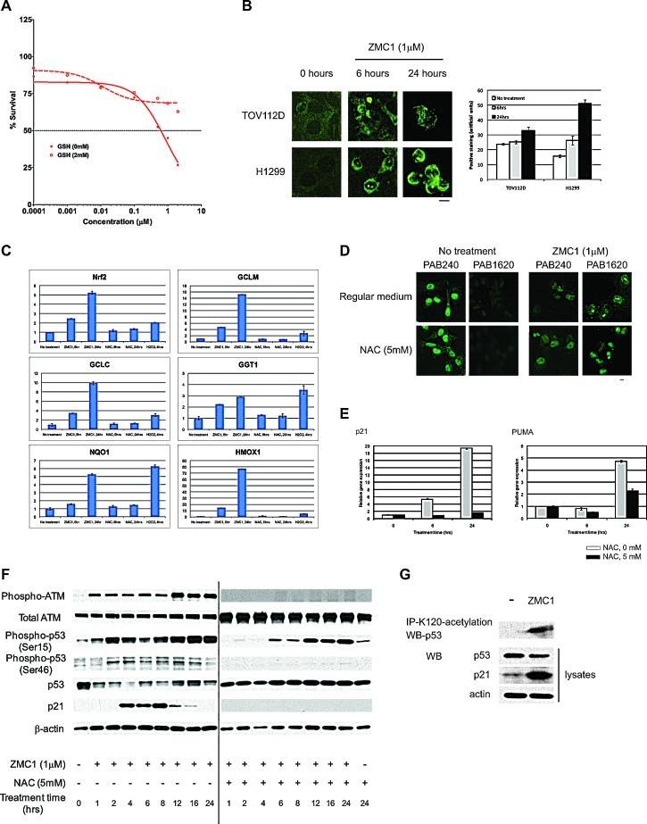
NSC319726 (ZMC1) is a small molecule that reactivates mutant p53 by restoration of WT structure/function to the most common p53 missense mutant (p53-R175H). We investigated the mechanism by which ZMC1 reactivates p53-R175H and provide evidence that ZMC1: 1) restores WT structure by functioning as a zinc-metallochaperone, providing an optimal concentration of zinc to facilitate proper folding; and 2) increases cellular reactive oxygen species that transactivate the newly conformed p53-R175H (via post-translational modifications), inducing an apoptotic program. We not only demonstrate that this zinc metallochaperone function is possessed by other zinc-binding small molecules, but that it can reactivate other p53 mutants with impaired zinc binding. This represents a novel mechanism for an anti-cancer drug and a new pathway to drug mutant p53.
We have elucidated a novel mechanism to restore wild-type structure/function to mutant p53 using small molecules functioning as zinc-metallochaperones. The pharmacologic delivery of a metal ion to restore proper folding of a mutant protein is unique to medicinal chemistry and represents a new pathway to drug mutant p53.
NSC319726(ZMC1)是一种小分子,可通过将野生型(WT)结构/功能恢复至最常见的p53错义突变体(p53-R175H)来重新激活突变型p53。我们研究了ZMC1重新激活p53-R175H的机制,并提供证据表明ZMC1:1)作为锌金属伴侣发挥作用来恢复野生型结构,提供最佳浓度的锌以促进正确折叠;2)增加细胞活性氧,通过翻译后修饰来反式激活新形成的p53-R175H,从而诱导凋亡程序。我们不仅证明了其他锌结合小分子也具有这种锌金属伴侣功能,而且它还可以重新激活锌结合受损的其他p53突变体。这代表了一种抗癌药物的新机制以及使突变型p53恢复正常的新途径。
我们阐明了一种利用作为锌金属伴侣的小分子将野生型结构/功能恢复至突变型p53的新机制。通过药物递送金属离子来恢复突变蛋白的正确折叠,这在药物化学中是独一无二的,并且代表了一种使突变型p53恢复正常的新途径。