Suppr超能文献

一家教学医院对373例非肿瘤性子宫切除术进行的组织病理学审计。

Histopathological audit of 373 nononcological hysterectomies in a teaching hospital.

作者信息

Tiwana Kanwardeep Kaur, Nibhoria Sarita, Monga Tanvi, Phutela Richa

机构信息

Department of Pathology, GGS Medical College Faridkot, BFHUS, Punjab 151203, India.

出版信息

Patholog Res Int. 2014;2014:468715. doi: 10.1155/2014/468715. Epub 2014 Sep 9.

Abstract

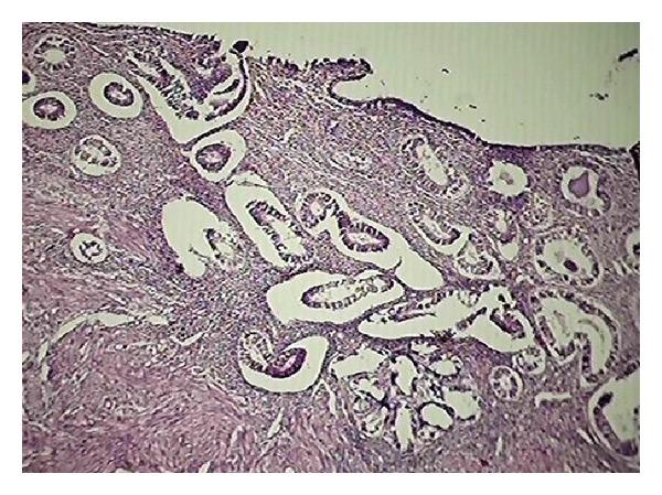
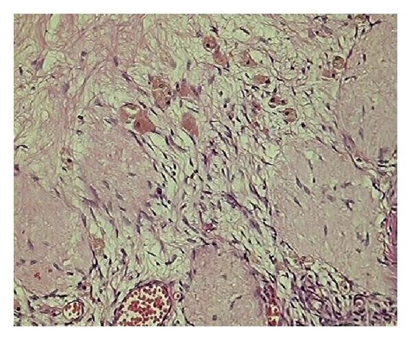
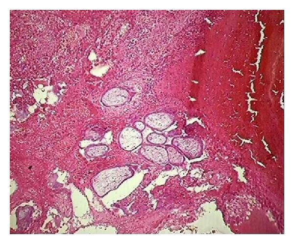
Hysterectomy, the most common gynecological surgery, provides a definitive cure to various diseases like DUB (dysfunctional uterine bleeding), leiomyoma, adenomyosis, chronic pelvic pain, prolapse, and malignancy. However, with advent of effective medical and conservative treatment modalities for nononcological causes it is now posing question mark on justification of hysterectomy. Therefore, an audit is required to assess the correlation between preoperative diagnosis and histopathological examination of specimen for justification of the procedure. In this study over period of one year (April 2013 to March 2014) 373 hysterectomies specimens were received in the department of pathology for nononcological causes. The age of patients ranged from 22 to 85 years with mean 45 ± 9.2 years. All cases were divided into five categories on the basis of age and audit was done. In this study the most common finding was leiomyoma (43.7%) followed by adenomyosis (19.3%). Almost 50% of hysterectomies causes were justified as preoperative diagnosis matched with histopathology. Cohen kappa statistics were used to measure agreement between preoperative and postoperative histopathological diagnosis which was found to be fair with κ value being 0.36. This study highlights that regular audit of surgeries can help improve quality of health care services and provide safe conservative option to patients.

摘要

子宫切除术是最常见的妇科手术,可有效治愈多种疾病,如功能失调性子宫出血(DUB)、平滑肌瘤、子宫腺肌病、慢性盆腔疼痛、子宫脱垂和恶性肿瘤。然而,随着针对非肿瘤性病因的有效药物和保守治疗方式的出现,子宫切除术的合理性如今受到了质疑。因此,需要进行一项审计,以评估术前诊断与标本组织病理学检查之间的相关性,从而证明该手术的合理性。在本研究中,在一年时间(2013年4月至2014年3月)内,病理科接收了373例因非肿瘤性病因进行子宫切除的标本。患者年龄在22岁至85岁之间,平均年龄为45±9.2岁。所有病例根据年龄分为五类并进行了审计。在本研究中,最常见的发现是平滑肌瘤(43.7%),其次是子宫腺肌病(19.3%)。几乎50%的子宫切除病因被证明是合理的,因为术前诊断与组织病理学结果相符。采用科恩kappa统计量来衡量术前和术后组织病理学诊断之间的一致性,发现一致性一般,κ值为0.36。本研究强调,定期对手术进行审计有助于提高医疗服务质量,并为患者提供安全的保守选择。

https://cdn.ncbi.nlm.nih.gov/pmc/blobs/7c16/4175382/0469924230d6/PRI2014-468715.001.jpg

文献AI研究员

20分钟写一篇综述,助力文献阅读效率提升50倍。

立即体验

用中文搜PubMed

大模型驱动的PubMed中文搜索引擎

马上搜索

文档翻译

学术文献翻译模型,支持多种主流文档格式。

立即体验