Brennan Ian M, Faintuch Salomao, Sacks Barry
Section of Interventional Radiology, Department of Radiology, Beth Israel Deaconess Medical Center/Harvard Medical School, Boston, MA, USA.
Acta Radiol Short Rep. 2014 Apr 23;3(3):2047981614524199. doi: 10.1177/2047981614524199. eCollection 2014 Apr.
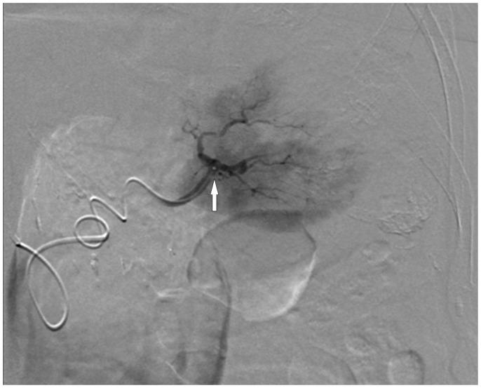
Splenic injury is a rare complication following colonoscopy with fewer than 100 reported cases worldwide to date. We describe a case of splenic laceration presenting 5 days following diagnostic colonoscopy. Although hemodynamically stable, active contrast extravasation on contrast-enhanced multidetector computed tomography predicted likely failure of conservative management. Splenic artery angiography confirmed active extravasation from the lower splenic pole and the patient was successfully treated with super selective coil embolization of a lower pole splenic artery branch. This is the eighth reported case of endovascular treatment of splenic injury following colonoscopy. To our knowledge, however, superselective splenic artery embolization has not been previously reported to treat this rare endoscopic complication.